症例詳細
Case detail
放置したむし歯 抜歯後にインプラントで補綴治療
治療症例の内容
- 担当医
- 藤巻太一朗(ドクタープロフィール)
- 患者様
- 30代女性
- 治療期間
- 7ヶ月
- 治療回数
- 10-30回
- 治療計画
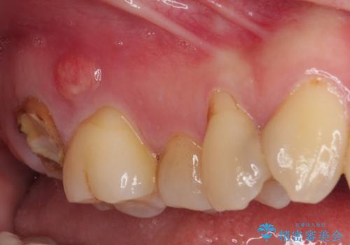
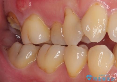
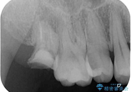
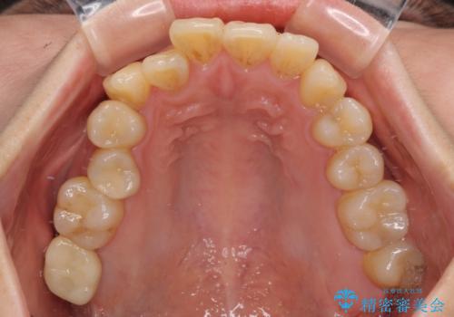
- 長年放置しているむし歯を気にして来院された患者様です。
外側を向いている上顎の奥歯は歯ブラシが十分に届かないため、むし歯となるケースが多いのですが、今回むし歯となってしまった歯がそれで、ボロボロになって根だけが残っている状態でした。
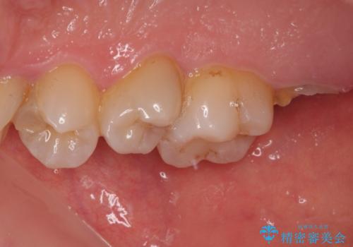
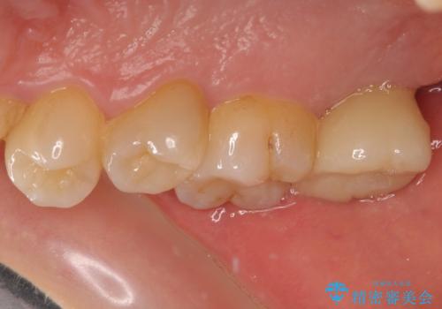
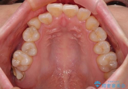
患者様と相談し、抜歯をした上でインプラントによる補綴治療を行うこととしました。
- 費用(概算)
- 治療費の目安: 60万円(税込)費用は治療当時の料金となります
治療について
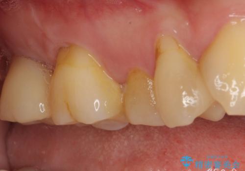
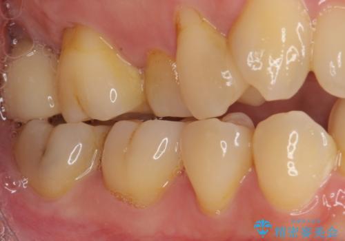
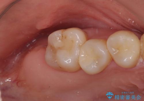
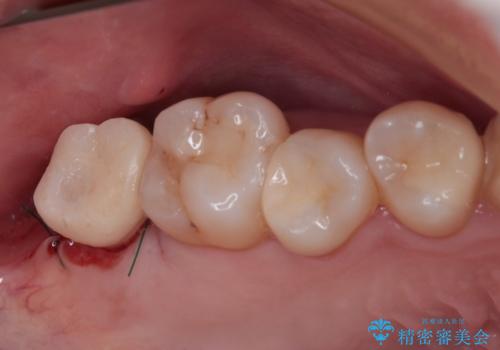
抜歯後に不快感は消失したのですが、手前の歯にあるむし歯が痛み出してきたため、セラミックインレーにて修復治療を並行して行いました。
インプラント治療の注意事項(リスク・副作用など)
- 外科手術のため、術後に痛みや腫れ、違和感を伴います
- メンテナンスを怠ったり喫煙により、お口の中に大きな悪影響を及ぼすインプラント周囲炎等にかかる可能性があります
- 糖尿病、肝硬変、心臓病等の場合、インプラント治療ができない可能性があります
- 高血圧、貧血・不整脈等の場合、インプラント治療後に治癒不全を招く可能性があります
- 自費診療(保険適用外治療)となります
セラミック治療の注意事項(リスク・副作用など)
- 天然歯を削ります
- 硬い素材は天然歯を傷つけてしまう場合があります
- かみ合わせや歯ぎしりが強すぎる方はセラミックが割れてしまう可能性があります
- 自費診療(保険適用外治療)となります
当サイトの内容、テキスト、画像等の無断転載、複製、複写、盗用を固く禁じます。
















