症例詳細
Case detail
銀歯をなくしたい 全顎的なむし歯治療
治療症例の内容
- 診療科目
- 担当医
- 藤巻太一朗(ドクタープロフィール)
- 患者様
- 30代男性
- 治療期間
- 6ヶ月
- 治療回数
- 10-30回
- 治療計画
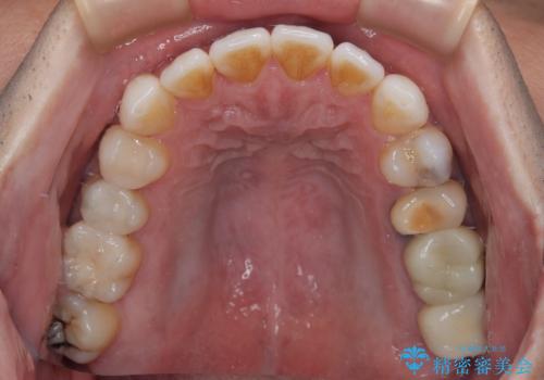
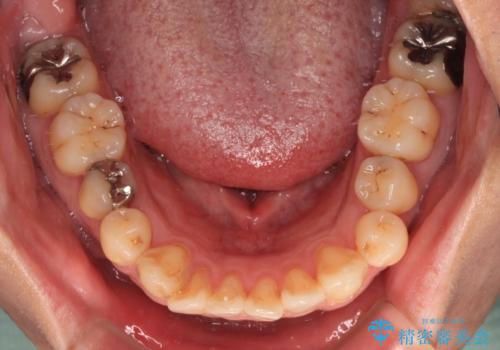
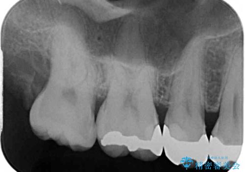
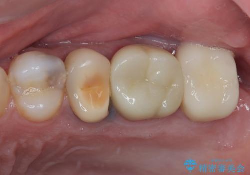
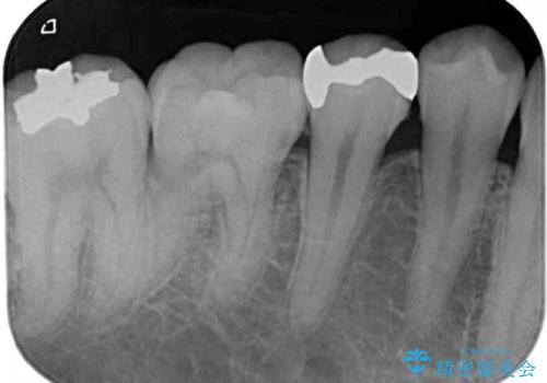
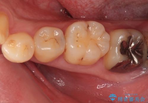
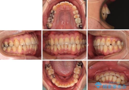
- 銀歯やむし歯でものが挟まるところが気になるとのことで来院された患者様です。
左上の奥歯は神経が失活しており、根管治療が必要な状態でした。
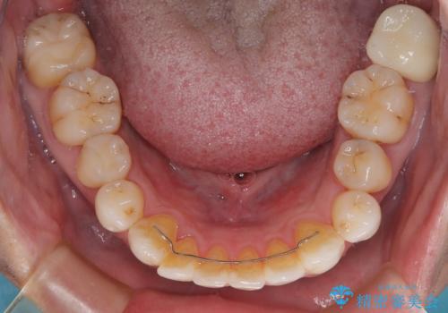
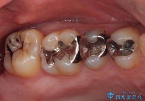
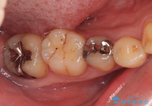
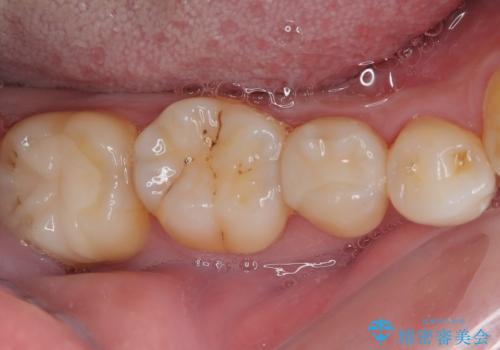
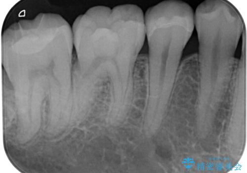
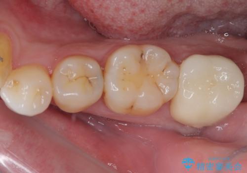
その他は銀歯のインレー(部分的な詰め物)が装着されており、それらはむし歯を除去した後にセラミックインレーにて修復治療を行い、左下と根管治療を行う左上の奥歯はオールセラミッククラウンにて補綴治療を行うこととしました。
- 費用(概算)
- 治療費の目安: 90万円(税込)費用は治療当時の料金となります
治療について
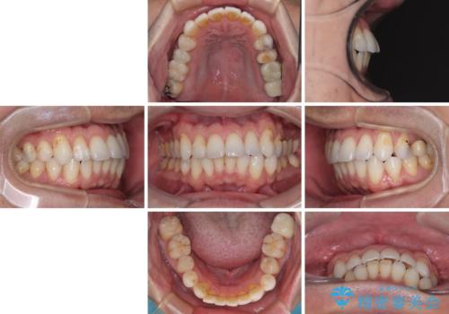
根管治療の途中で、矯正治療の後戻りが気になるとのことで、下顎前歯の叢生を改善するためにマウスピース矯正を並行して行いました。
目立っていた銀歯がなくなり、患者様には大変満足していただけました。
セラミック治療の注意事項(リスク・副作用など)
- 天然歯を削ります
- 硬い素材は天然歯を傷つけてしまう場合があります
- かみ合わせや歯ぎしりが強すぎる方はセラミックが割れてしまう可能性があります
- 自費診療(保険適用外治療)となります
当サイトの内容、テキスト、画像等の無断転載、複製、複写、盗用を固く禁じます。




























