症例詳細
Case detail
薬剤の影響で変色した歯を自然に オールセラミッククラウンによる審美歯科治療
治療症例の内容
- 診療科目
- 治療カテゴリ
- 担当医
- 藤巻太一朗(ドクタープロフィール)
- 患者様
- 20代男性
- 治療期間
- 3ヶ月
- 治療回数
- 5-10回
- 治療計画
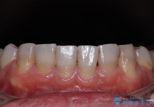
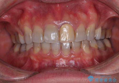
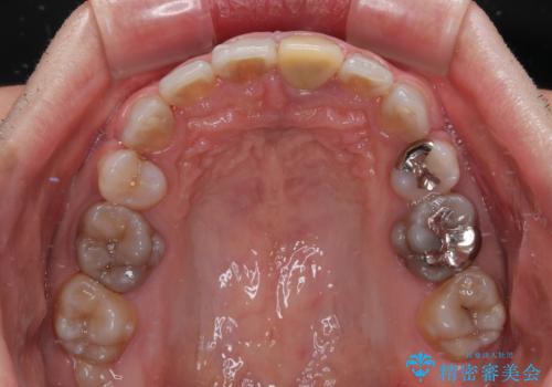
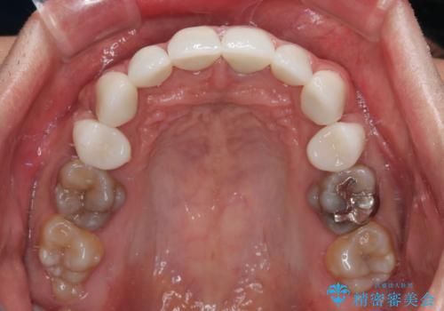
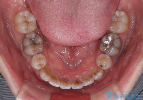
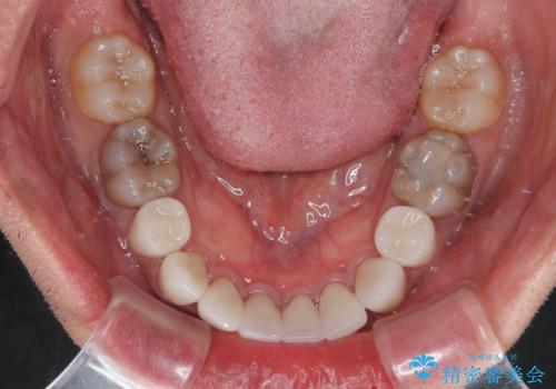
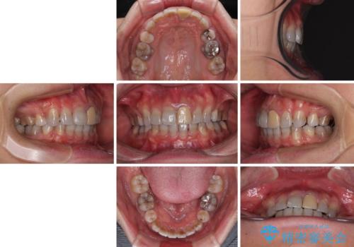
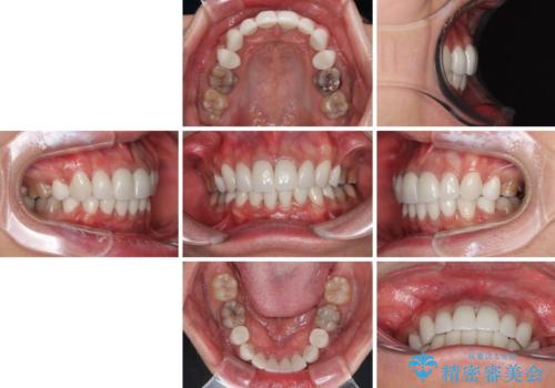
- 口元の突出感を改善するための抜歯矯正を終えた患者様ですが、幼少期からの変色した歯をセラミッククラウンにて自然な色合いに変えていくこととしました。
(矯正治療はこちらのリンクを参照:https://seimitsushinbi.jp/case/125766/)
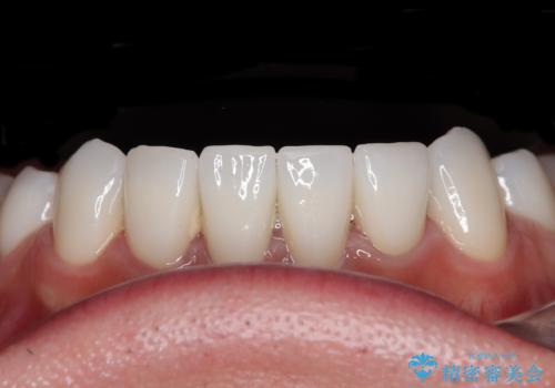
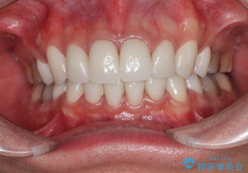
口を開けたときに目につく範囲を希望されたため上下ともに8本ずつをオールセラミッククラウンによる補綴治療を行うこととしました。
- 費用(概算)
- 治療費の目安: 215万円(税込)費用は治療当時の料金となります
治療について
近年では大変珍しいですが、胎児あるいは乳幼児期の抗生物質の影響で永久歯が変色してしまうことがあります。
ホワイトニングでの改善は期待できないため、オールセラミッククラウンによる補綴治療が必要となります。
セラミック治療の注意事項(リスク・副作用など)
- 天然歯を削ります
- 硬い素材は天然歯を傷つけてしまう場合があります
- かみ合わせや歯ぎしりが強すぎる方はセラミックが割れてしまう可能性があります
- 自費診療(保険適用外治療)となります
当サイトの内容、テキスト、画像等の無断転載、複製、複写、盗用を固く禁じます。














