症例詳細
Case detail
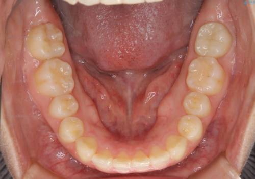
前歯のねじれと深い噛み合わせの改善:インビザライン治療
治療症例の内容
- 診療科目
- 担当医
- 患者様
- 20代女性
- 矯正装置
- インビザラインFULL
- 治療期間
- 3年3ヶ月
- 治療回数
- 30回以上
- 治療計画
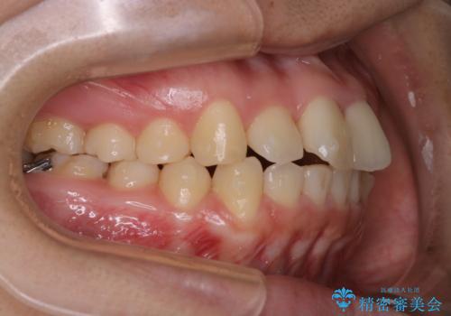
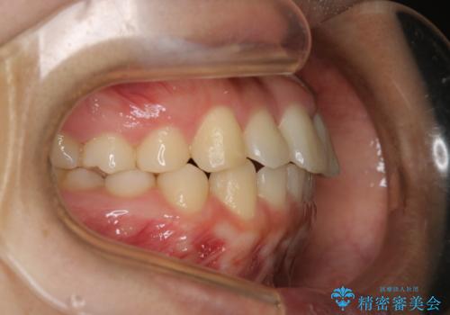
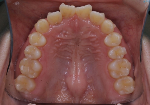
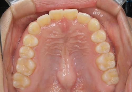
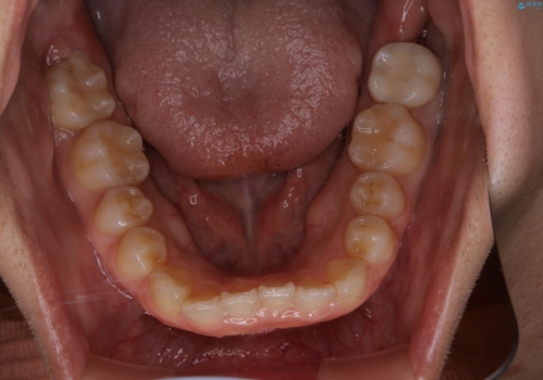
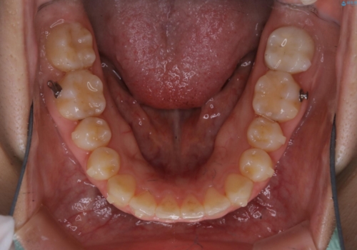
- 前歯が捻転していることを主訴に来院された方です。元々は部分矯正をご希望されていましたが、噛み合わせ等総合的に治療していくためインビザラインにて全顎的に治療を行うこととしました。
- 費用(概算)
- 79万円(税込み)費用は治療当時の料金となります
治療について
元々は上の前歯部の捻転のみの治療をご希望されていましたが、下の前歯もがたつきがあることや噛み合わせがかなり深いことを説明しました。後戻りのリスクを抑えるために全顎的な治療をご提案しました。
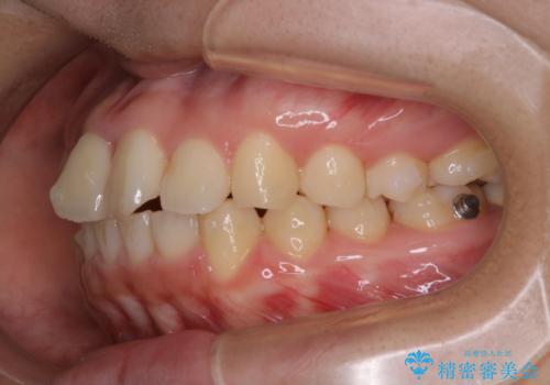
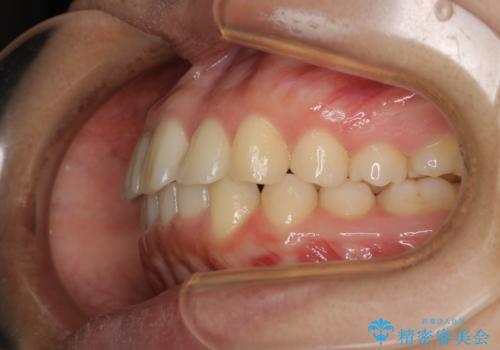
捻転していた上顎前歯部の仕上がりにこだわり、何度か修正を行ったため、満足のいく仕上がりになったと大変喜んでいただけました。
マウスピース矯正の注意事項(リスク・副作用など)
- 口腔内・歯並びの状態によっては対応できない場合があります
- マウスピース型矯正装置の長時間装着(1日20時間以上)が必須です
- 治療計画通りに進めるためには、患者様の意志が重要になります
- 矯正治療後の保定が不十分だと後戻り(元の位置に戻ろうとする動き)をします
- 薬機法対象外の矯正歯科装置のため医薬品副作用被害救済制度の対象外となる場合があります
- 自費診療(保険適用外)となります
当サイトの内容、テキスト、画像等の無断転載、複製、複写、盗用を固く禁じます。



















