症例詳細
Case detail
銀歯のところがしみる オールセラミッククラウン
治療症例の内容
- 診療科目
- 治療カテゴリ
- 担当医
- 有澤哲郎(ドクタープロフィール)
- 患者様
- 20代女性
- 治療期間
- 2ヶ月
- 治療回数
- 2-5回
- 治療計画
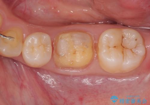
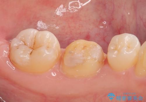
- 左下の銀歯のところがしみるとのことで来院された患者様です。
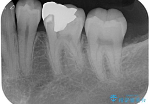
レントゲン上で金属の詰め物(メタルインレー)の下に虫歯を認めました。
拡大鏡視野下で、金属の詰め物(メタルインレー)、虫歯の除去を行い、オールセラミッククラウンに適した形に整えました。
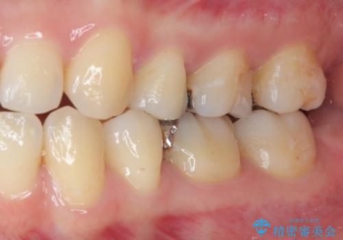
仮歯の状態で1週間ほど過ごしてもらい、しみる症状も改善されたので
歯と歯茎の間に圧排糸と言われる糸を入れてシリコーン印象材にて型どりをしました。
- 費用(概算)
- 10万円(税込み)費用は治療当時の料金となります
治療について
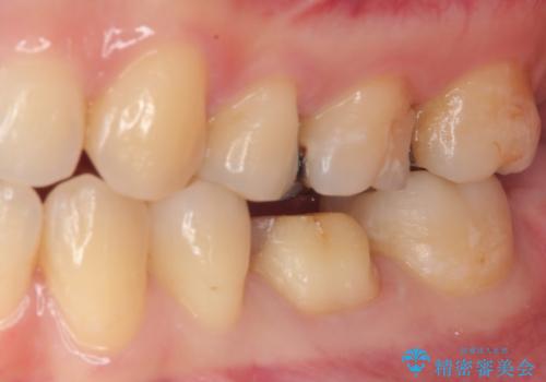
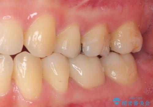
痛みやしみることもなく、適合もよく、機能的に問題もなく、見た目も満足されていました。
今後は他の金属の詰め物(メタルインレー)のところを治療していく予定です。
セラミック治療の注意事項(リスク・副作用など)
- 天然歯を削ります
- 硬い素材は天然歯を傷つけてしまう場合があります
- かみ合わせや歯ぎしりが強すぎる方はセラミックが割れてしまう可能性があります
- 自費診療(保険適用外治療)となります
当サイトの内容、テキスト、画像等の無断転載、複製、複写、盗用を固く禁じます。











