症例詳細
Case detail
できる限り口の中を綺麗にしたい。
治療症例の内容
- 患者様
- 20代男性
- 治療期間
- 2年
- 治療回数
- 10-30回
- 治療計画
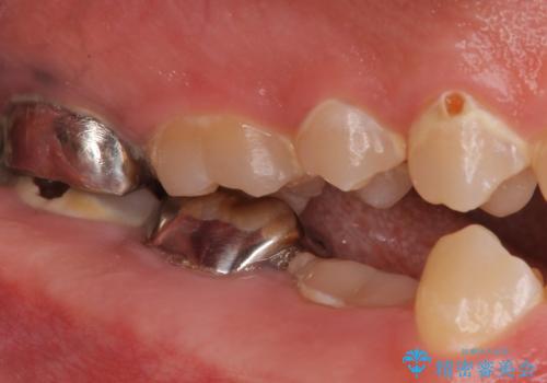
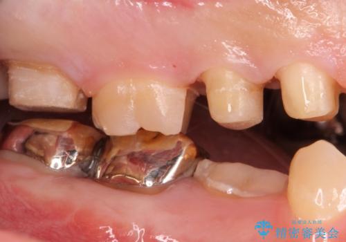
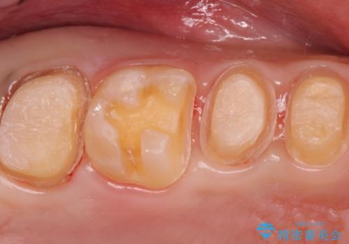
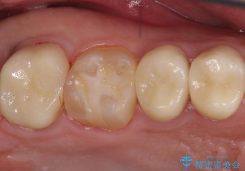
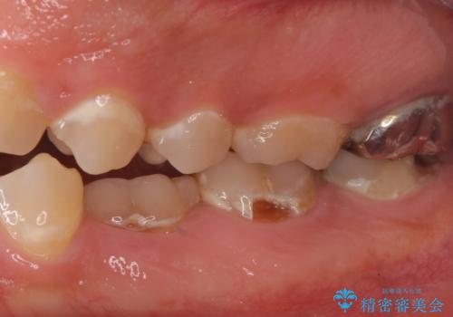
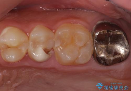
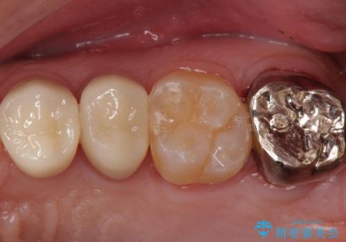
- 口の中を予算の範囲内でできるだけきれいにしたいとのことで来院された患者様です。
矯正治療と虫歯治療を組み合わせてご提案しましたが、ご予算との兼ね合いで虫歯治療のみを行うこととなりました。
- 費用(概算)
- 約160万円費用は治療当時の料金となります
治療について
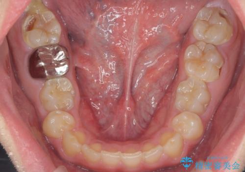
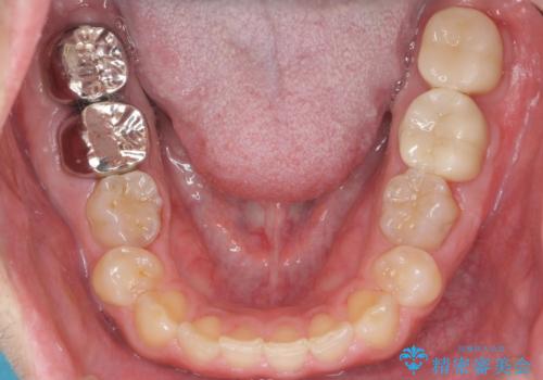
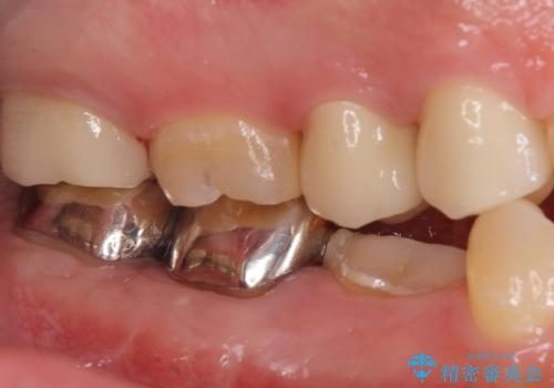
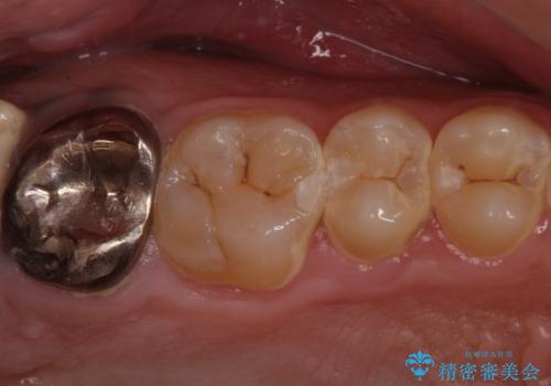
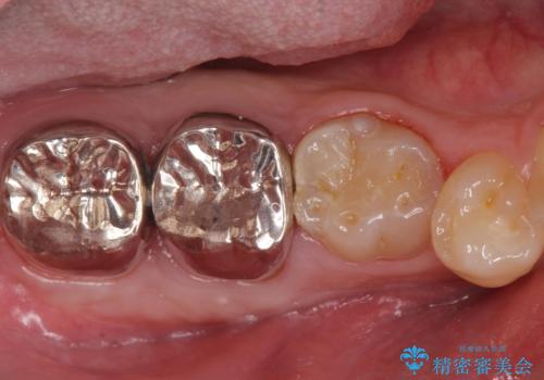
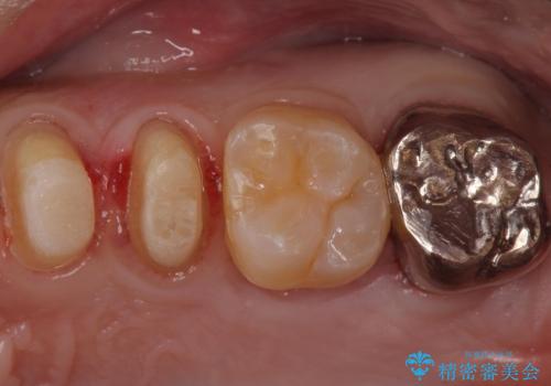
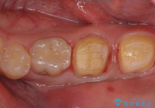
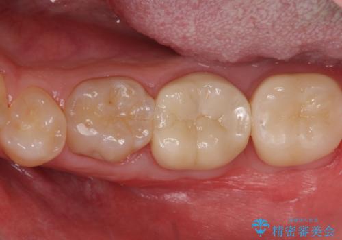
奥歯は十分な歯の高さがなかったため、クラウンをかぶせる前に歯周外科治療で歯の高さを出しています。
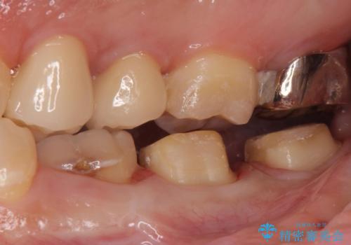
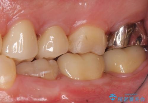
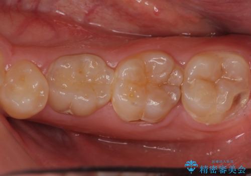
歯科に通うようになってから磨き残しの状態も改善されていきました。
セラミック治療の注意事項(リスク・副作用など)
- 天然歯を削ります
- 硬い素材は天然歯を傷つけてしまう場合があります
- かみ合わせや歯ぎしりが強すぎる方はセラミックが割れてしまう可能性があります
- 自費診療(保険適用外治療)となります
歯周病治療の注意事項(リスク・副作用など)
- 外科手術のため、術後に痛みや腫れ、違和感を伴います
- 歯周組織再生治療は患者様の状態によって術後の経過が異なります(見た目が改善しない場合もあります)
- 歯周組織再生治療は自費診療(保険適用外)となります
保険治療の注意事項(リスク・副作用など)
- 保険医が保険医療機関において健康保険法、医師法、医療法等の各種関係法令の規定を遵守し、『療養担当規則』の規定を遵守し、医学的に妥当適切な診療を行い、診療報酬点数表に定められたとおりに請求を行っています
- 使用する材料・素材や治療方法に制約があります
- 健康保険適用となります
当サイトの内容、テキスト、画像等の無断転載、複製、複写、盗用を固く禁じます。























