症例詳細
Case detail
前歯の変色を改善 オールセラミック治療
治療症例の内容
- 診療科目
- 治療カテゴリ
- 担当医
- 大元洋佑(ドクタープロフィール)
- 患者様
- 30代男性
- 治療期間
- 1ヶ月
- 治療回数
- 2-5回
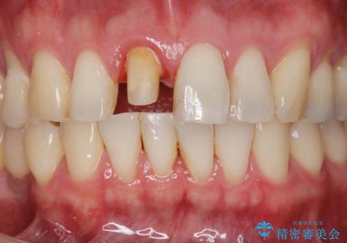
- 治療計画
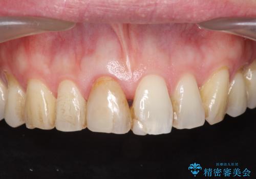
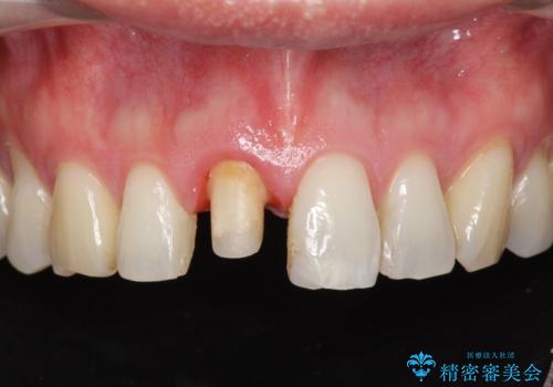
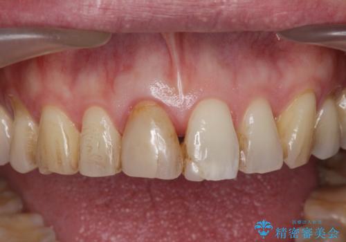
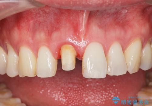
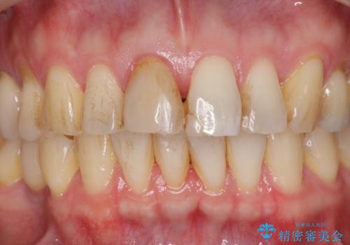
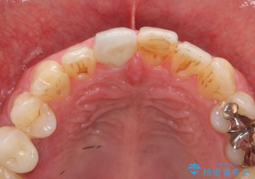
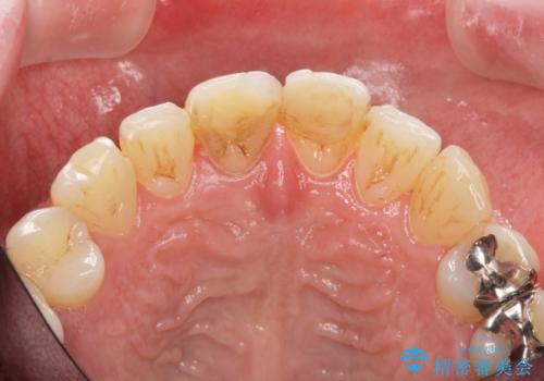
- 目立つ前歯の変色の改善を希望され来院されました。
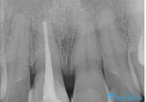
根管治療を行いそのままにしていると歯は、徐々に変色を来します。
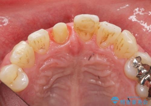
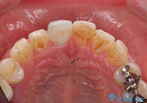
感染の疑われる根管内に対し再度根管治療を行い、セラミッククラウンを作製することで審美性の回復します。
- 費用(概算)
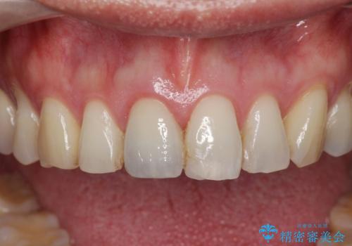
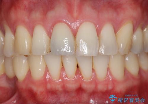
- 13.2万円(ジルコニアクラウン・仮歯)費用は治療当時の料金となります
治療について
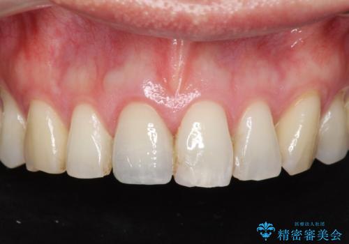
目立つ前歯の審美性が改善したことで見た目を気にせず笑えるようになった。との嬉しい感想をいただくことができました。
セラミック治療の注意事項(リスク・副作用など)
- 天然歯を削ります
- 硬い素材は天然歯を傷つけてしまう場合があります
- かみ合わせや歯ぎしりが強すぎる方はセラミックが割れてしまう可能性があります
- 自費診療(保険適用外治療)となります
当サイトの内容、テキスト、画像等の無断転載、複製、複写、盗用を固く禁じます。





















