症例詳細
Case detail
前歯の変色を改善するセラミッククラウン治療
治療症例の内容
- 診療科目
- 治療カテゴリ
- 担当医
- 大元洋佑(ドクタープロフィール)
- 患者様
- 10代女性
- 治療期間
- 1ヶ月
- 治療回数
- 2-5回
- 治療計画
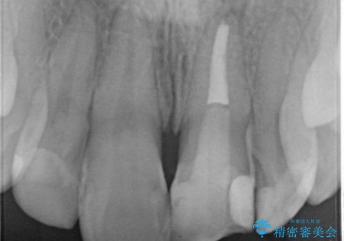
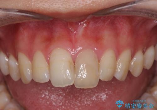
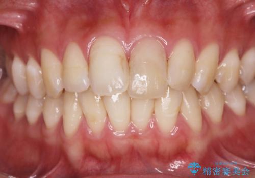
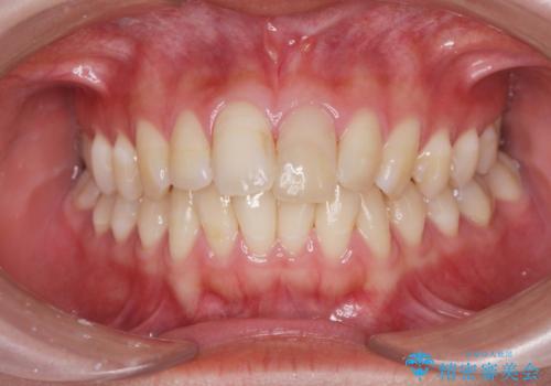
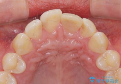
- 以前に前歯を強打し、変色してきた前歯の審美性の改善を希望されて来院されました。
X線検査の結果、変色をきたしている歯は根尖病変が存在し、神経が失活している状態でした。
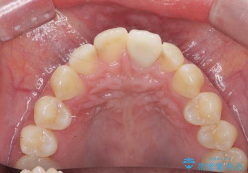
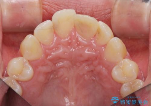
根管治療を行ったのち、セラミッククラウンで審美性を改善していきます。
- 費用(概算)
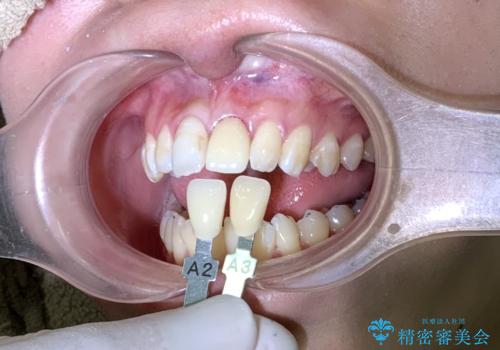
- 13.2万円(ジルコニアクラウン・仮歯)費用は治療当時の料金となります
治療について
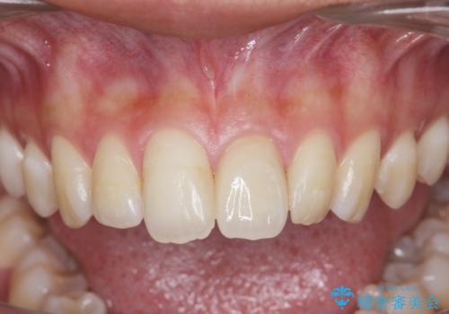
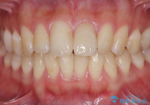
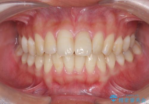
歯科技工士との綿密な打ち合わせで、非常に自然なセラミッククラウンを作製することができました。
セラミック治療の注意事項(リスク・副作用など)
- 天然歯を削ります
- 硬い素材は天然歯を傷つけてしまう場合があります
- かみ合わせや歯ぎしりが強すぎる方はセラミックが割れてしまう可能性があります
- 自費診療(保険適用外治療)となります
当サイトの内容、テキスト、画像等の無断転載、複製、複写、盗用を固く禁じます。
















