症例詳細
Case detail
前歯の隙間を埋めたい 矯正かクラウンか
治療症例の内容
- 診療科目
- 治療カテゴリ
- 担当医
- 岡田康成(ドクタープロフィール)
- 患者様
- 20代男性
- 治療期間
- 2ヶ月
- 治療回数
- 2-5回
- 治療計画
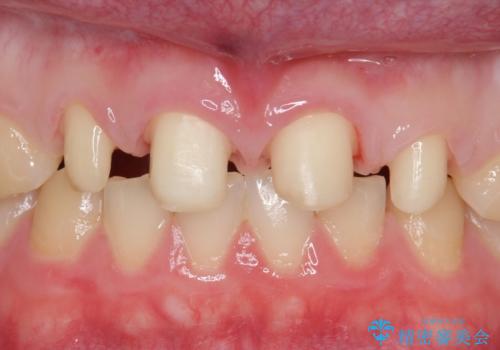
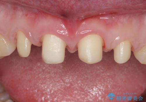
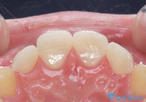
- 前歯の隙間を埋めたいとのことで来院された患者様です。
矯正治療とかぶせ物での治療どちらともご提案したところ、かぶせ物での治療をご希望されたためクラウンでの審美性回復を試みることとなりました。
- 費用(概算)
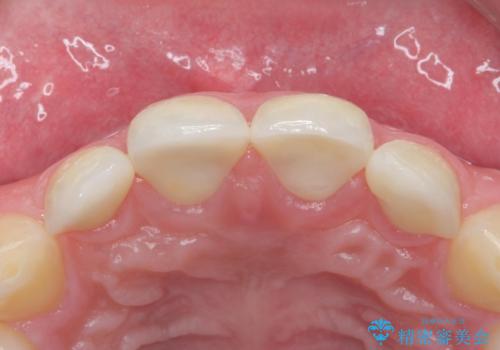
- 右上12左上12 : 仮歯 / 11,000円×4本、ジルコニアクラウン(スペシャル) / 154,000円×4本 合計660,000円(税込)費用は治療当時の料金となります
治療について
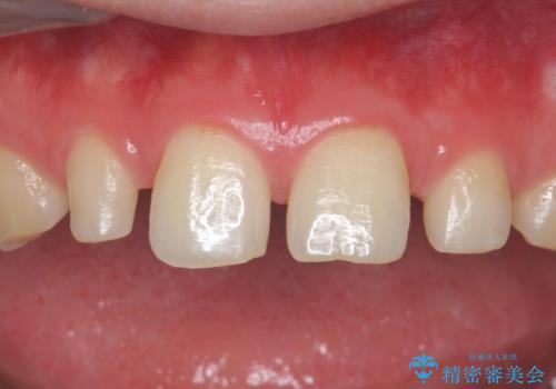
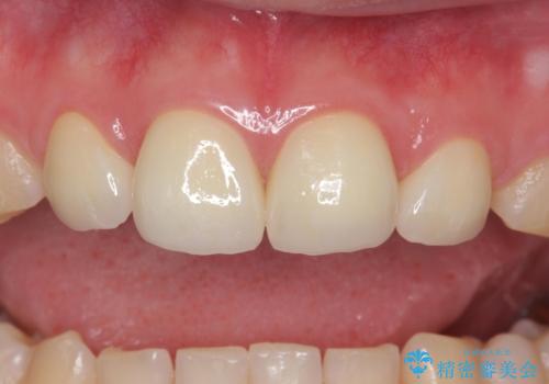
今回のように、元の歯が小さすぎる場合は矯正治療での審美性回復が難しいことがあります。
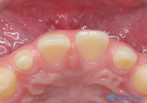
形のイメージを反映させた仮歯を調整し、技工士さんと連携して製作したため口元に調和した非常に審美的なクラウンを装着することができました。
セラミック治療の注意事項(リスク・副作用など)
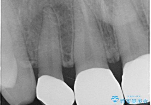
- 天然歯を削ります
- 硬い素材は天然歯を傷つけてしまう場合があります
- かみ合わせや歯ぎしりが強すぎる方はセラミックが割れてしまう可能性があります
- 自費診療(保険適用外治療)となります
当サイトの内容、テキスト、画像等の無断転載、複製、複写、盗用を固く禁じます。
















