症例詳細
Case detail
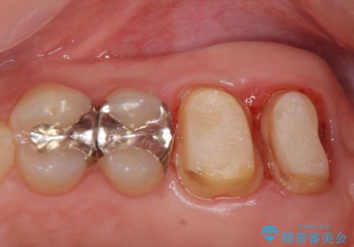
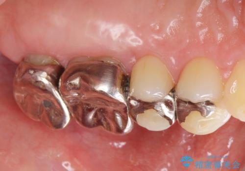
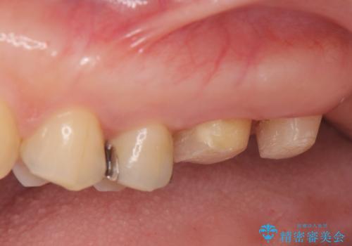
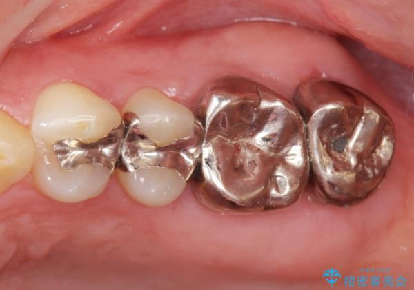
他院で入れた銀歯をやりかえたい。
治療症例の内容
- 診療科目
- 担当医
- 青山卓弘(ドクタープロフィール)
- 患者様
- 40代女性
- 治療期間
- 6ヶ月
- 治療回数
- 5-10回
- 治療計画
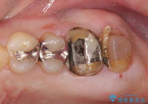
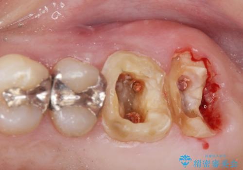
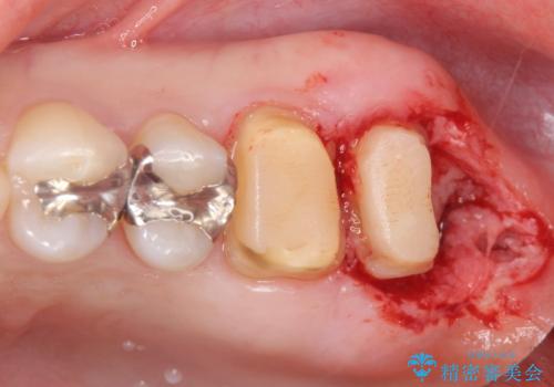
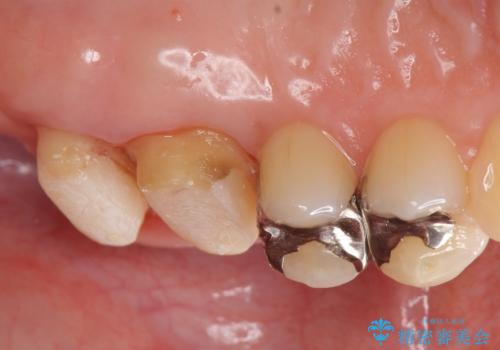
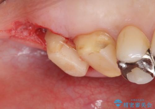
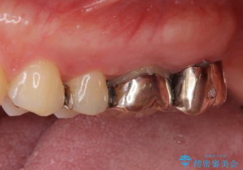
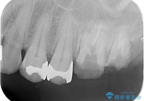
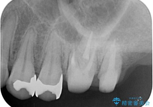
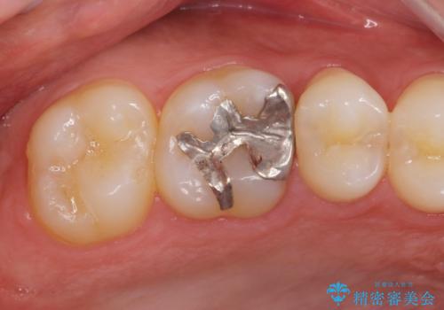
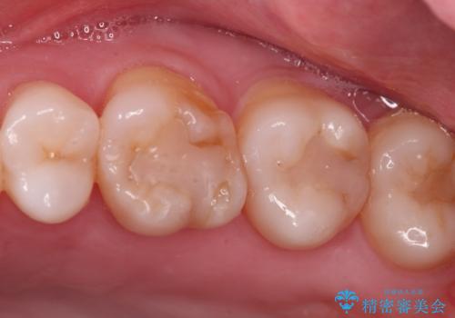
- 銀歯をやりかえたいが他院で抜歯と言われセカンドオピニオンで来院。適合の悪い被せ物が入っており、まずは古い材料、虫歯をとり保存可能か確かめる必要があり、拡大鏡下で全て取り除いたら歯質が歯茎の中まで虫歯がありました。このまま無理やり型取りをして被せ物を作っても不適合な被せ物が入る可能性が高いため歯茎を切り取る手術(ディスタルウェッジ)を行いました。そして再根管治療を行いゴールドの被せ物で治療を行いました。
- 費用(概算)
- PGAクラウン・仮歯 13.2万円×2 精密根管治療(リトリートメント)・コア 16.5万円×2 ディスタルウェッジ 1万円費用は治療当時の料金となります
治療について
適合の良い被せ物が入り大変満足して頂けました。
PGA(ゴールド)クラウン、インレーの注意事項(リスク・副作用など)
- インレーおよびクラウンは脱離するリスクがあります
- 形成量はセラミックより少ないですが、歯の形成、修復後に歯に症状が出ることがあります
- 自費診療(保険適用外治療)となります
外科処置の注意事項(リスク・副作用など)
- 外科手術のため、術後に出血、痛みや腫れ、違和感を伴います
- 口腔内の状態によっては適応できないことがあります
その他の注意事項(リスク・副作用など)
- 担当歯科医師、歯科衛生士又は医院スタッフから受けた説明・注意事項をよくご確認ください
- 医療を提供するに当たり、適切な説明を行い、患者様の十分な理解を得るよう努めております
当サイトの内容、テキスト、画像等の無断転載、複製、複写、盗用を固く禁じます。
























