症例詳細
Case detail
【オールセラミッククラウン】前歯の見た目が気になる!
治療症例の内容
- 診療科目
- 治療カテゴリ
- 担当医
- 河野豊嘉(ドクタープロフィール)
- 患者様
- 30代女性
- 治療期間
- 治療回数
- 2-5回
- 治療計画
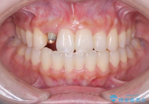
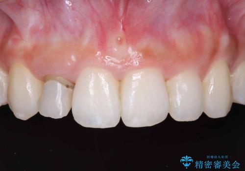
- 「前歯の見た目が気になる」を主訴に来院された患者様です。
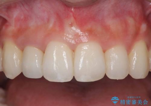
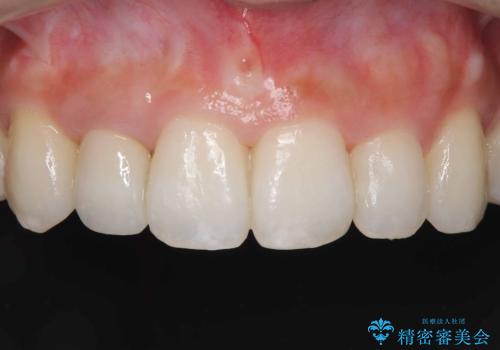
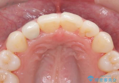
オールセラミッククラウンで治療を行いました。
- 費用(概算)
- 税込165,000円(オールセラミッククラウン.スペシャル154,000円+仮歯11,000円)費用は治療当時の料金となります
治療について
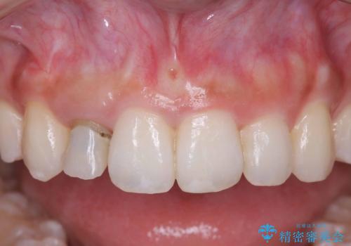
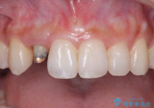
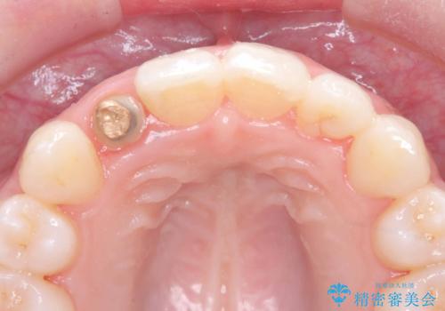
被せ物と歯の境の位置が歯肉の上に設定されており、それによって審美障害が起きていました。
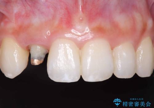
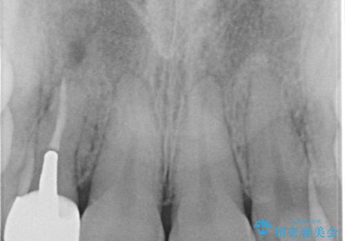
歯と被せ物の境を歯肉縁下0.5㎜に設定して形成を行いオールセラミッククラウン(スペシャル)で治療を行いました。
セラミック治療の注意事項(リスク・副作用など)
- 天然歯を削ります
- 硬い素材は天然歯を傷つけてしまう場合があります
- かみ合わせや歯ぎしりが強すぎる方はセラミックが割れてしまう可能性があります
- 自費診療(保険適用外治療)となります
当サイトの内容、テキスト、画像等の無断転載、複製、複写、盗用を固く禁じます。















