症例詳細
Case detail
欠損歯をブリッジにて補綴
治療症例の内容
- 診療科目
- 治療カテゴリ
- 担当医
- 河口智英(ドクタープロフィール)
- 患者様
- 20代女性
- 治療期間
- 1ヶ月
- 治療回数
- 2-5回
- 治療計画
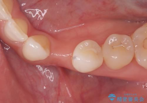
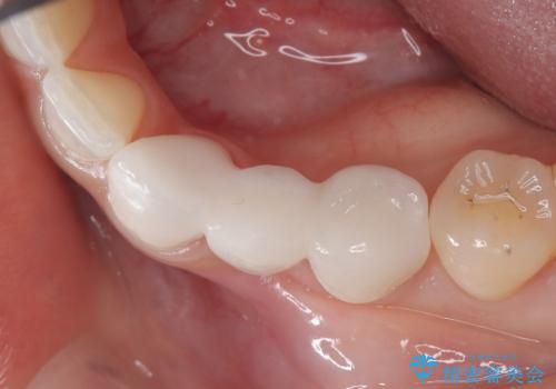
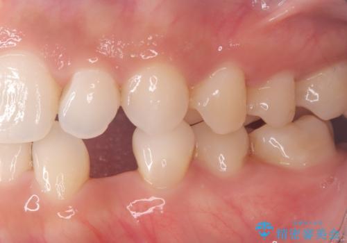
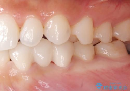
- 左下の歯が生まれつき無かった患者様です。
矯正治療にてスペースを一箇所に集めてからオールセラミックブリッジにて補綴治療を行いました。
- 費用(概算)
- 36万円費用は治療当時の料金となります
治療について
今回は、患者様の希望もありインプラントではなくブリッジにて修復しています。
セラミック治療の注意事項(リスク・副作用など)
- 天然歯を削ります
- 硬い素材は天然歯を傷つけてしまう場合があります
- かみ合わせや歯ぎしりが強すぎる方はセラミックが割れてしまう可能性があります
- 自費診療(保険適用外治療)となります
当サイトの内容、テキスト、画像等の無断転載、複製、複写、盗用を固く禁じます。







