症例詳細
Case detail
【オールセラミッククラウン】海外に転居する前に治療したい
治療症例の内容
- 診療科目
- 治療カテゴリ
- 担当医
- 河口智英(ドクタープロフィール)
- 患者様
- 20代女性
- 治療期間
- 2ヶ月
- 治療回数
- 2-5回
- 治療計画
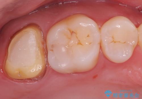
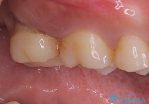
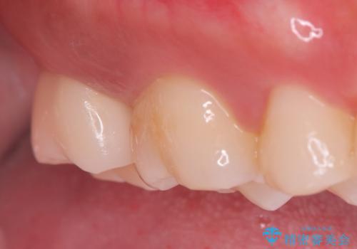
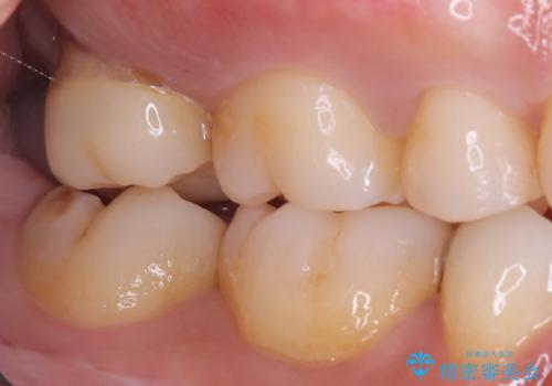
- 海外に転居する前に治療を完了させたいと来院された患者様です。
根管治療からセラミッククラウンまで来院回数は5回で治療を完了することができました。
- 費用(概算)
- 30万円費用は治療当時の料金となります
治療について
治療前は遠心のポケットが7mmほどありましたが、治療後には3mmに改善しています。
セラミック治療の注意事項(リスク・副作用など)
- 天然歯を削ります
- 硬い素材は天然歯を傷つけてしまう場合があります
- かみ合わせや歯ぎしりが強すぎる方はセラミックが割れてしまう可能性があります
- 自費診療(保険適用外治療)となります
当サイトの内容、テキスト、画像等の無断転載、複製、複写、盗用を固く禁じます。









