症例詳細
Case detail
前歯をきれいにしたい オールセラミッククラウン
治療症例の内容
- 診療科目
- 治療カテゴリ
- 担当医
- 齋藤佑磨(ドクタープロフィール)
- 患者様
- 30代女性
- 治療期間
- 2ヶ月
- 治療回数
- 2-5回
- 治療計画
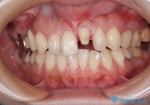
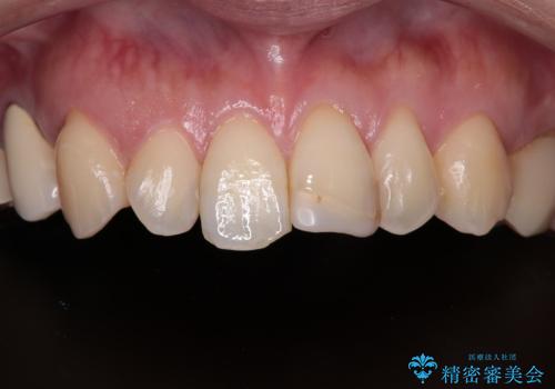
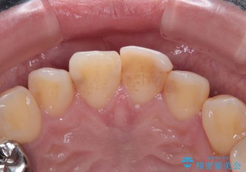
- 以前保険診療で行った前歯を自然できれいなセラミックにしたいと来院された患者様です。
古い材料と虫歯を除去して、土台の形を整え、より自然なオールセラミッククラウンにすることとしました。
- 費用(概算)
- 17万円(税込)費用は治療当時の料金となります
治療について
セラミックは噛み合わせによっては欠けてしまうことがあるため、その予防でナイトガードを製作しました。
セラミック治療の注意事項(リスク・副作用など)
- 天然歯を削ります
- 硬い素材は天然歯を傷つけてしまう場合があります
- かみ合わせや歯ぎしりが強すぎる方はセラミックが割れてしまう可能性があります
- 自費診療(保険適用外治療)となります
当サイトの内容、テキスト、画像等の無断転載、複製、複写、盗用を固く禁じます。











