症例詳細
Case detail
歯が割れた オールセラミッククラウン
治療症例の内容
- 診療科目
- 治療カテゴリ
- 担当医
- 有澤哲郎(ドクタープロフィール)
- 患者様
- 40代男性
- 治療期間
- 2ヶ月
- 治療回数
- 2-5回
- 治療計画
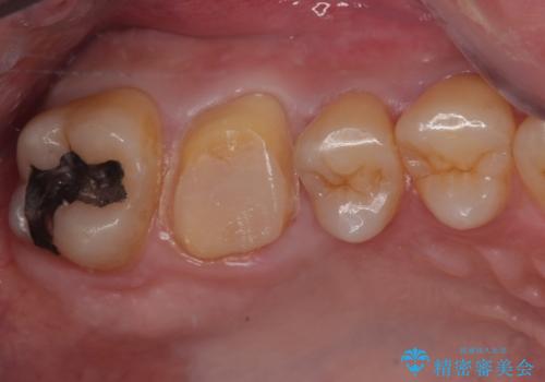
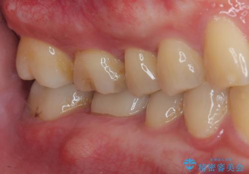
- 歯が割れたことを主訴に来院された患者様です。割れた原因としては噛み合う歯が強化セラミックスのみでできたフルジルコニアクラウンであったことと、大きな詰め物が入っていて自分自身の歯の範囲が少なかったことが考えられます。応急で来院されたときには暫間的に強力な接着剤で固定しました。
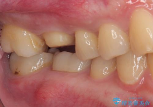
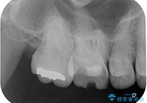
CT を撮影して確認したところ、歯肉より4ミリ程度深い場所で破折していました。患者様と相談して、外科的な介入はせずに被せもののみでの治療を行うこととしました。
拡大鏡視野下で詰め物と虫歯の除去を行い、詰め物の範囲が大きかったためオールセラミッククラウンに適した形に整えました。
型どりはシリコーン印象材にて精密印象をしています。
- 費用(概算)
- 10万円(税込み)費用は治療当時の料金となります
治療について
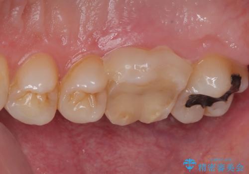
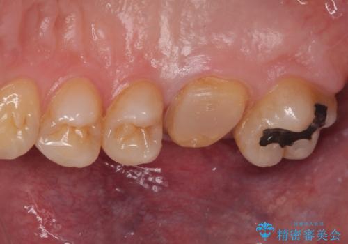
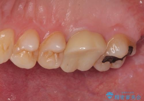
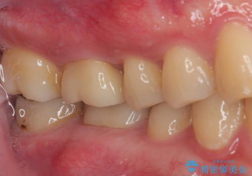
痛みもなく、適合もよく、機能的に問題もなく、見た目も満足されていました。
嚙む力(咬合力)がとても強い方なのでナイトガードを今後使っていただく予定です。
セラミック治療の注意事項(リスク・副作用など)
- 天然歯を削ります
- 硬い素材は天然歯を傷つけてしまう場合があります
- かみ合わせや歯ぎしりが強すぎる方はセラミックが割れてしまう可能性があります
- 自費診療(保険適用外治療)となります
当サイトの内容、テキスト、画像等の無断転載、複製、複写、盗用を固く禁じます。











