症例詳細
Case detail
詰め物の下に虫歯があると言われた オールセラミッククラウン
治療症例の内容
- 診療科目
- 治療カテゴリ
- 担当医
- 有澤哲郎(ドクタープロフィール)
- 患者様
- 20代女性
- 治療期間
- 1ヶ月
- 治療回数
- 2-5回
- 治療計画
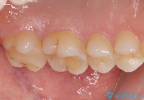
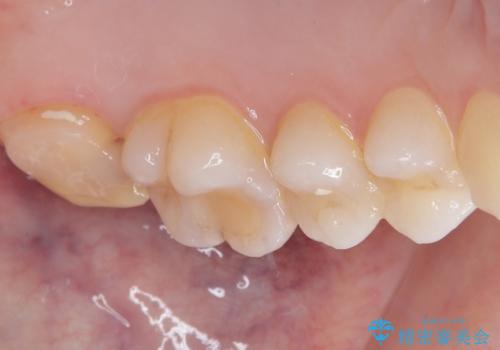
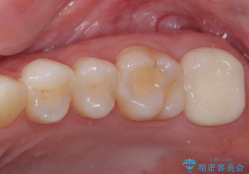
- 大学病院で「詰め物の下に虫歯がある」と言われたことを主訴に来院された患者様です。たまにしみる感じがするとのことでした。
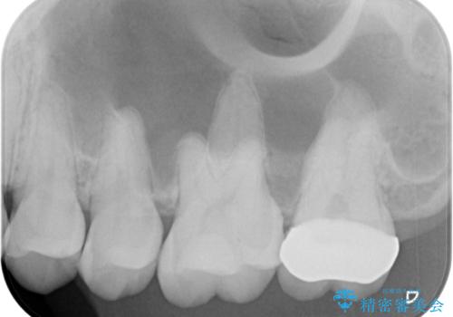
レントゲン上で詰め物とご自身の歯の間に隙間を認めました。
拡大鏡視野下で詰め物と虫歯の除去を行い、詰め物の範囲が大きかったためオールセラミッククラウンに適した形に整えました。
型どりはシリコーン印象材にて精密印象をしています。
- 費用(概算)
- 14万円(税込み)費用は治療当時の料金となります
治療について
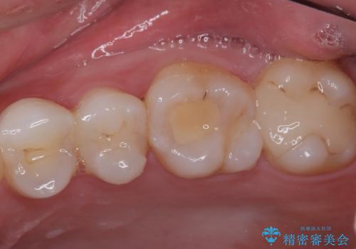
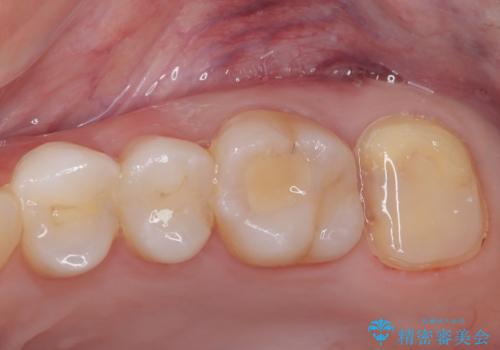
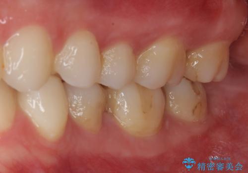
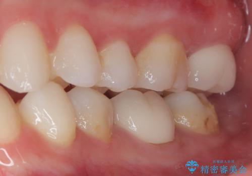
歯がしみることがなくなったと大変喜んでいただけました。
適合もよく、機能的に問題もなく、見た目も満足されていました。
セラミック治療の注意事項(リスク・副作用など)
- 天然歯を削ります
- 硬い素材は天然歯を傷つけてしまう場合があります
- かみ合わせや歯ぎしりが強すぎる方はセラミックが割れてしまう可能性があります
- 自費診療(保険適用外治療)となります
当サイトの内容、テキスト、画像等の無断転載、複製、複写、盗用を固く禁じます。










