症例詳細
Case detail
金属の詰め物が取れたので白くしたい オールセラミッククラウン
治療症例の内容
- 診療科目
- 治療カテゴリ
- 担当医
- 有澤哲郎(ドクタープロフィール)
- 患者様
- 20代女性
- 治療期間
- 3ヶ月
- 治療回数
- 2-5回
- 治療計画
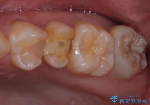
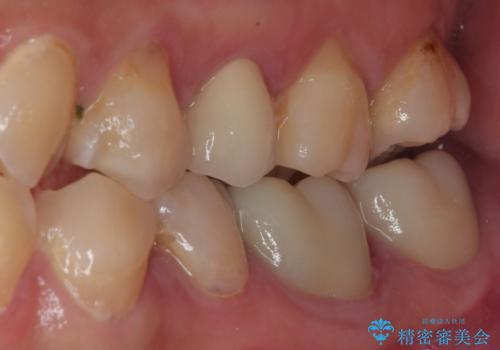
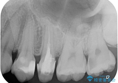
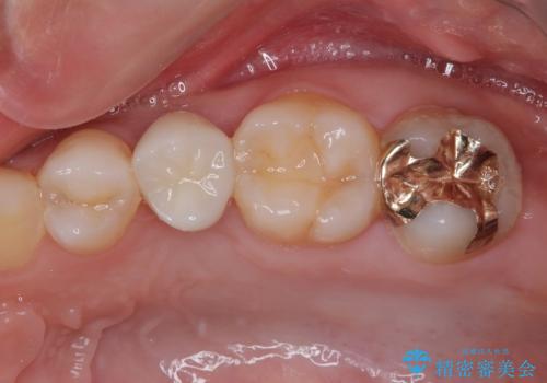
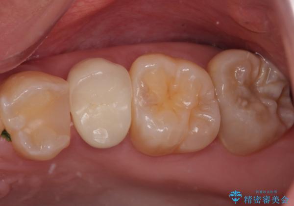
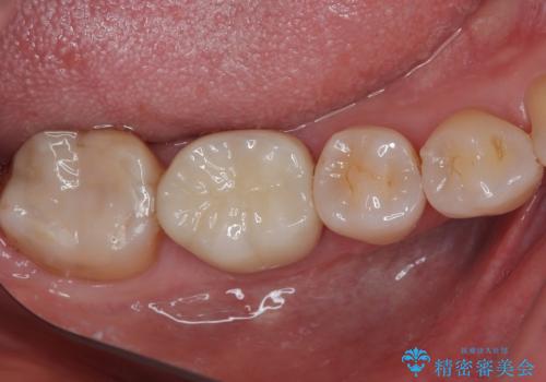
- 左上の前から5番目の金属の詰め物(メタルインレー)が取れたとのことで来院された患者様です。一時帰国中とのことで短期間での治療を希望されていました。土台はファイバーコアがしっかり入っていたため、そのまま利用することにしました。根管治療は症状もなく、レントゲン上でも病変を認めないため患者様と相談して根管治療を行わないことにしました。拡大鏡の視野下において、虫歯を除去して元々の詰め物の範囲も大きいためオールセラミッククラウンに適した形に整えました。
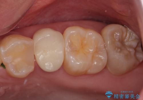
型どりは、シリコーン印象材にて印象しています。
- 費用(概算)
- 14万円(税込み)費用は治療当時の料金となります
治療について
根管治療を施した歯は割れるリスクが上昇するため、詰め物(インレー)ではなく、被せ物(クラウン)にしなければなりません。
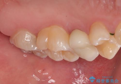
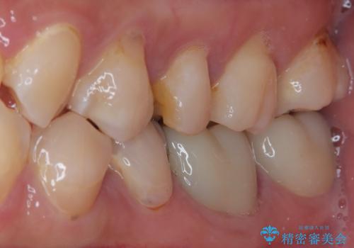
適合もよく、機能的に問題もなく、見た目も満足されていました。
セラミック治療の注意事項(リスク・副作用など)
- 天然歯を削ります
- 硬い素材は天然歯を傷つけてしまう場合があります
- かみ合わせや歯ぎしりが強すぎる方はセラミックが割れてしまう可能性があります
- 自費診療(保険適用外治療)となります
当サイトの内容、テキスト、画像等の無断転載、複製、複写、盗用を固く禁じます。








