症例詳細
Case detail
左奥歯が痛い。(親知らず抜歯 ジルコニアクラウン)
治療症例の内容
- 診療科目
- 担当医
- 青山卓弘(ドクタープロフィール)
- 患者様
- 20代女性
- 治療期間
- 2ヶ月
- 治療回数
- 2-5回
- 治療計画
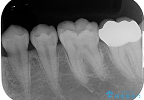
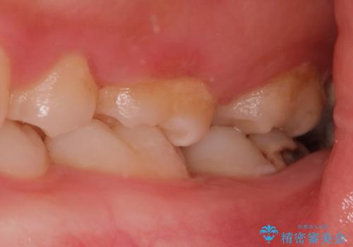
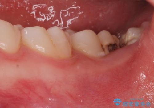
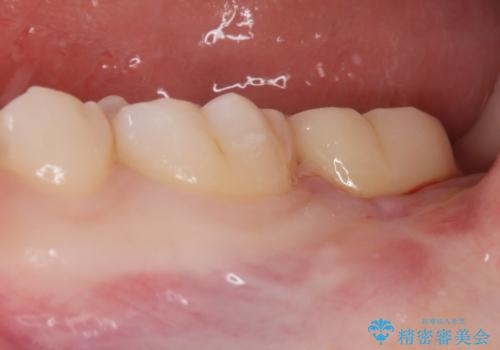
- 左下奥歯が痛いとの事で来院。
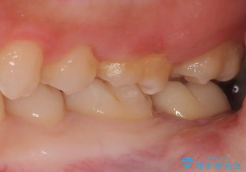
親知らずが炎症を起こしていたので抜歯をし、手前の歯は拡大鏡下で虫歯を取り除き、ジルコニアクラウンで治療をしました。
- 費用(概算)
- ジルコニアクラウンスタンダード・仮歯 12.1万円 親知らず抜歯 保険適応費用は治療当時の料金となります
治療について
親知らずは歯ブラシがしにくく、虫歯のリスクが高いです。
手前の歯が虫歯になる前に抜歯をする事をお勧めします。
セラミック治療の注意事項(リスク・副作用など)
- 天然歯を削ります
- 硬い素材は天然歯を傷つけてしまう場合があります
- かみ合わせや歯ぎしりが強すぎる方はセラミックが割れてしまう可能性があります
- 自費診療(保険適用外治療)となります
保険治療の注意事項(リスク・副作用など)
- 保険医が保険医療機関において健康保険法、医師法、医療法等の各種関係法令の規定を遵守し、『療養担当規則』の規定を遵守し、医学的に妥当適切な診療を行い、診療報酬点数表に定められたとおりに請求を行っています
- 使用する材料・素材や治療方法に制約があります
- 健康保険適用となります
その他の注意事項(リスク・副作用など)
- 担当歯科医師、歯科衛生士又は医院スタッフから受けた説明・注意事項をよくご確認ください
- 医療を提供するに当たり、適切な説明を行い、患者様の十分な理解を得るよう努めております
外科処置の注意事項(リスク・副作用など)
- 外科手術のため、術後に出血、痛みや腫れ、違和感を伴います
- 口腔内の状態によっては適応できないことがあります
当サイトの内容、テキスト、画像等の無断転載、複製、複写、盗用を固く禁じます。








