症例詳細
Case detail
歯周外科を行い、歯ぐきの状態を整えた前歯セラミック治療
治療症例の内容
- 診療科目
- 治療カテゴリ
- 担当医
- 大元洋佑(ドクタープロフィール)
- 患者様
- 20代男性
- 治療期間
- 8ヶ月
- 治療回数
- 5-10回
- 治療計画
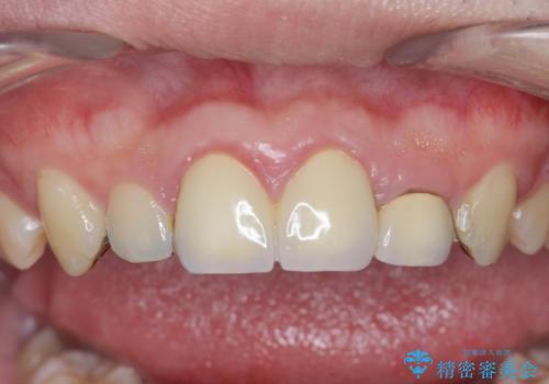
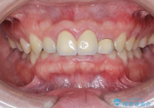
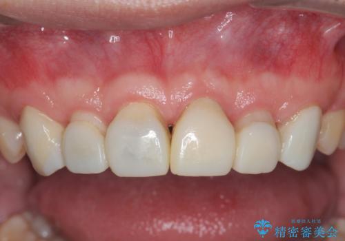
- 「前歯の見た目、歯ぐきの腫れを改善したい。」と希望され来院されました。
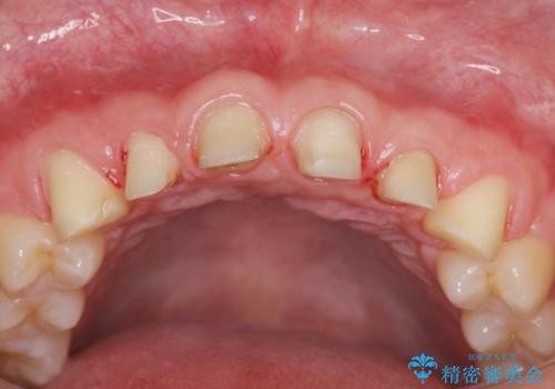
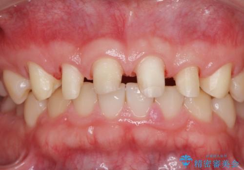
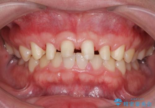
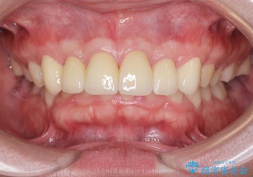
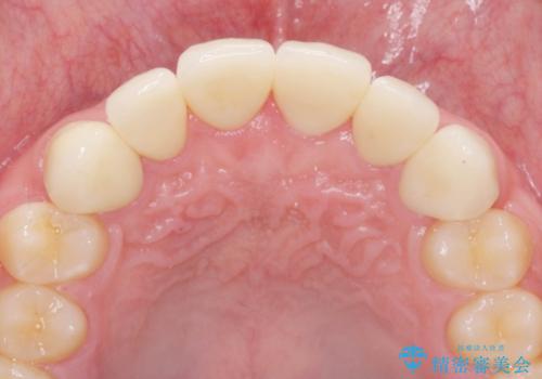
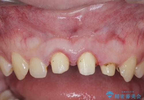
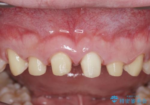
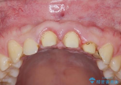
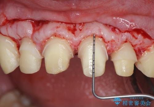
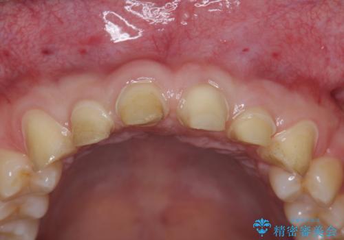
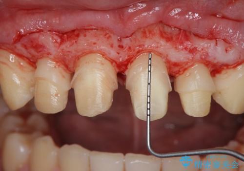
前歯には接着性の維持装置や、中途半端な形の連結クラウンが装着され、清掃性が悪く歯ぐきの腫れや、歯ぐきの形態の不揃いが認められました。
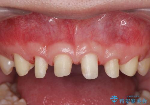
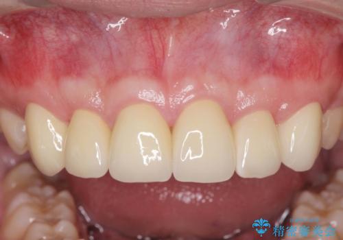
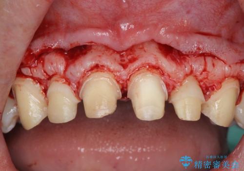
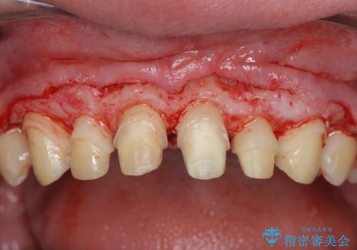
ただ、白いオールセラミッククラウンを製作・装着するのではなく、将来にわたり安定した状況を獲得するため、歯周外科を行い歯ぐきと周囲の歯槽骨の形態を整えていきます。
- 費用(概算)
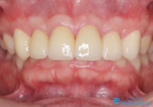
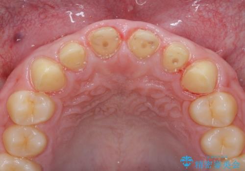
- 95.7万円(ジルコニアクラウン×6・仮歯×6・歯周外科 )費用は治療当時の料金となります
治療について
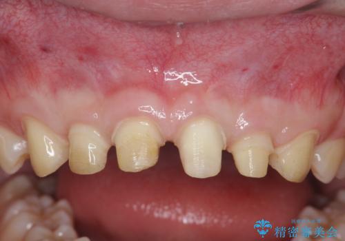
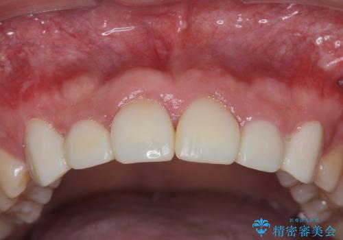
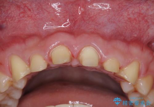
歯周外科を行ったことで、歯ぐきの形態や腫れが改善され、審美性だけでなく清掃性も大きく改善することができました。
外科処置の注意事項(リスク・副作用など)
- 外科手術のため、術後に出血、痛みや腫れ、違和感を伴います
- 口腔内の状態によっては適応できないことがあります
セラミック治療の注意事項(リスク・副作用など)
- 天然歯を削ります
- 硬い素材は天然歯を傷つけてしまう場合があります
- かみ合わせや歯ぎしりが強すぎる方はセラミックが割れてしまう可能性があります
- 自費診療(保険適用外治療)となります
当サイトの内容、テキスト、画像等の無断転載、複製、複写、盗用を固く禁じます。









































