症例詳細
Case detail
埋もれた奥歯をワイヤーで改善 インビザラインによる矯正治療
治療症例の内容
- 診療科目
- 治療カテゴリ
- 担当医
- 藤巻太一朗(ドクタープロフィール)
- 患者様
- 20代女性
- 矯正装置
- インビザライン・審美装置
- 治療期間
- 3年3ヶ月
- 治療回数
- 10-30回
- 治療計画
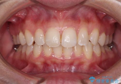
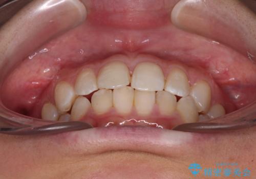
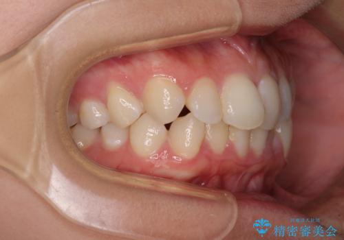
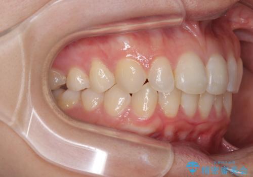
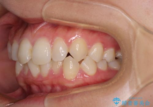
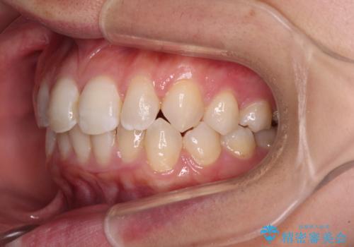
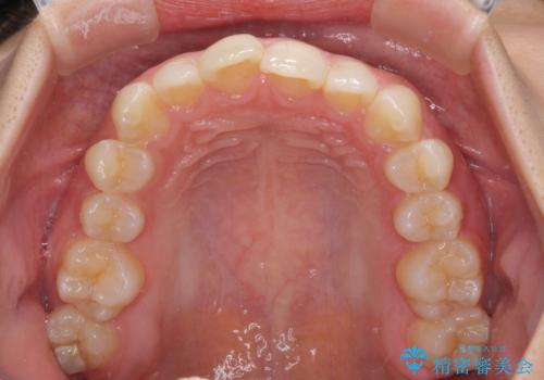
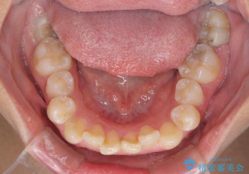
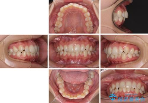
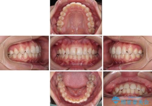
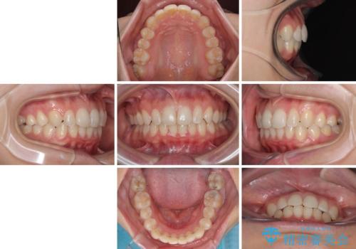
- 前歯のデコボコと歯肉に埋もれている奥歯を気にして来院された患者様です。
インビザラインでの治療を希望されていましたが、左右の下顎大臼歯が歯肉に埋もれており、特に右側は歯軸が顕著に傾斜していたため、インビザライン単独での治療は困難と判断し、ワイヤー装置を併用することとしました。
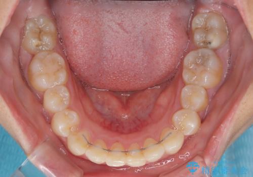
ワイヤー装置での下顎臼歯改善には時間がかかることが予想されたため、下顎のワイヤー矯正と並行して上顎をインビザラインで整え、その後インビザラインにより上下歯列を整える矯正治療を行うこととしました。
- 費用(概算)
- 治療費の目安: 105万円(税込)費用は治療当時の料金となります
治療について
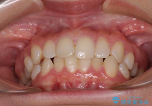
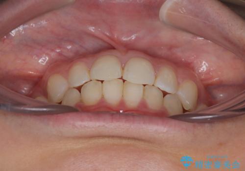
ワイヤー装置を併用したことで、レントゲン写真からも分かるとおり歯軸をしっかりと改善させることができました。
マウスピース矯正の注意事項(リスク・副作用など)
- 口腔内・歯並びの状態によっては対応できない場合があります
- マウスピース型矯正装置の長時間装着(1日20時間以上)が必須です
- 治療計画通りに進めるためには、患者様の意志が重要になります
- 矯正治療後の保定が不十分だと後戻り(元の位置に戻ろうとする動き)をします
- 薬機法対象外の矯正歯科装置のため医薬品副作用被害救済制度の対象外となる場合があります
- 自費診療(保険適用外)となります
ワイヤー矯正の注意事項(リスク・副作用など)
- 治療中は違和感や痛みが起こることがあります
- 症状により、抜歯が必要な場合があります
- 治療中は歯磨きがしにくくなるため、虫歯や歯周病になりやすくなります
- 矯正治療後の保定が不十分だと後戻り(元の位置に戻ろうとする動き)をします
- 自費診療(保険適用外)となります
当サイトの内容、テキスト、画像等の無断転載、複製、複写、盗用を固く禁じます。




























