症例詳細
Case detail
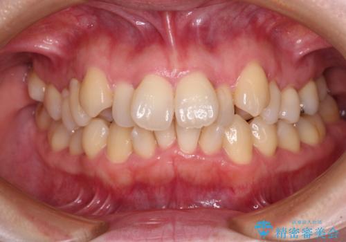
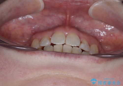
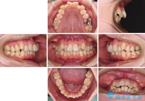
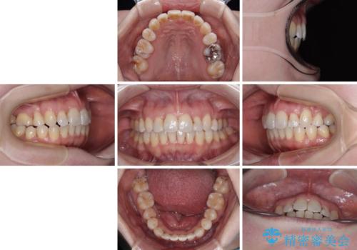
飛び出した上顎前歯と上下のデコボコ 片顎の抜歯によるワイヤー矯正
治療症例の内容
- 診療科目
- 治療カテゴリ
- 担当医
- 藤巻太一朗(ドクタープロフィール)
- 患者様
- 30代女性
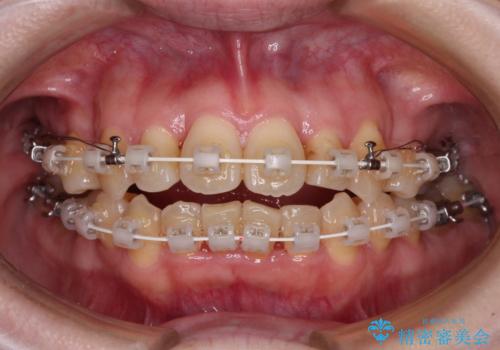
- 矯正装置
- 審美装置
- 治療期間
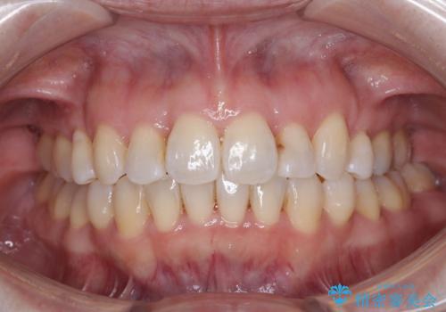
- 2年8ヶ月
- 治療回数
- 30回以上
- 治療計画
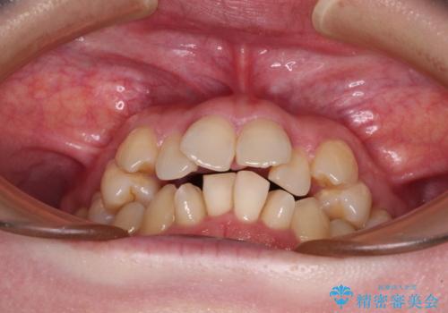
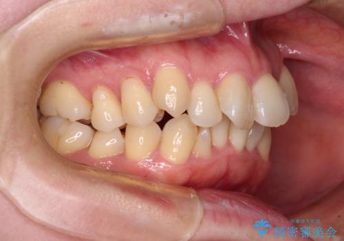
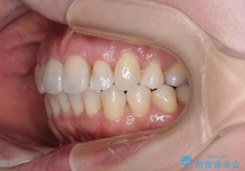
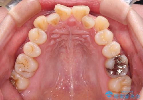
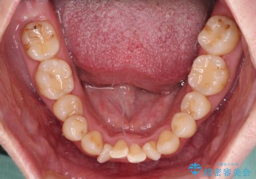
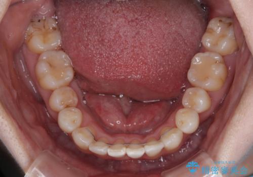
- 上下前歯のデコボコと、上顎の八重歯を気にして来院された患者様です。
下顎に対して上顎が前方にあり、第一大臼歯による咬合状態は上顎前突であったため、上顎のみ左右の第一小臼歯を抜歯し、ワイヤー装置にて矯正治療を行うこととしました。
- 費用(概算)
- 治療費の目安: 105万円(税込)費用は治療当時の料金となります
治療について
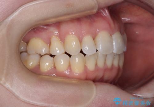
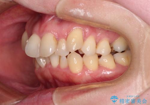
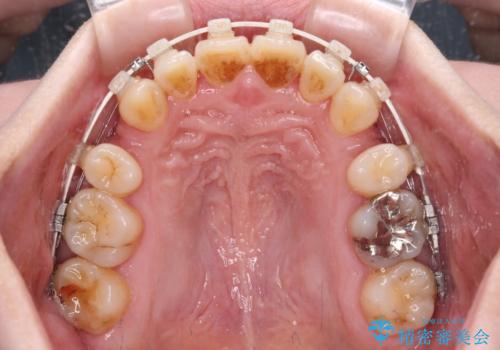
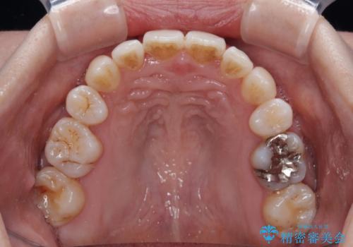
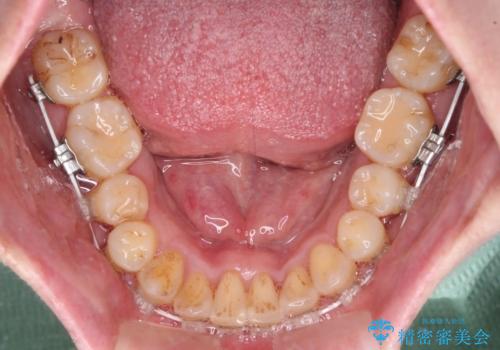
舌の突出癖が強く、治療途中で上下前歯が乖離した開咬となってしまいました。
舌のトレーニングで開咬は改善できますが、なかなかトレーニングが進まず、治療期間は想定よりも長期化してしまいました。
ワイヤー矯正の注意事項(リスク・副作用など)
- 治療中は違和感や痛みが起こることがあります
- 症状により、抜歯が必要な場合があります
- 治療中は歯磨きがしにくくなるため、虫歯や歯周病になりやすくなります
- 矯正治療後の保定が不十分だと後戻り(元の位置に戻ろうとする動き)をします
- 自費診療(保険適用外)となります
当サイトの内容、テキスト、画像等の無断転載、複製、複写、盗用を固く禁じます。


























