症例詳細
Case detail
歯茎が腫れてきた。再根管治療
治療症例の内容
- 診療科目
- 担当医
- 岡田康成(ドクタープロフィール)
- 患者様
- 30代男性
- 治療期間
- 1ヶ月
- 治療回数
- 2-5回
- 治療計画
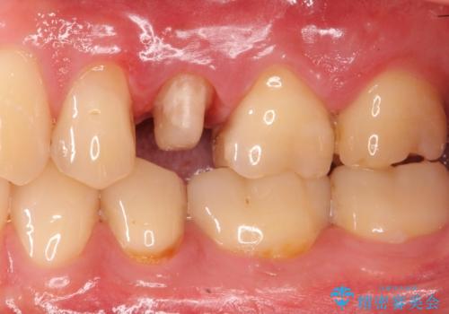
- 左上の歯茎にできものができたとのことで来院された患者様です。
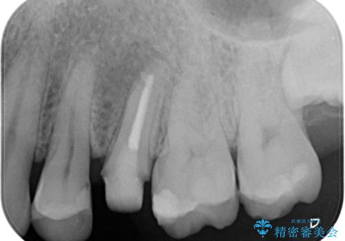
術前検査より根管内の感染が疑われたため、再根管治療を行います。
- 費用(概算)
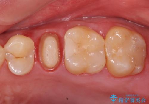
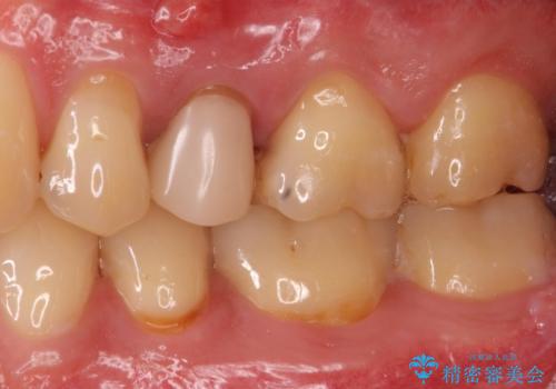
- 左上5:再根管治療(リトリートメント・小臼歯)/121,000円、土台(ファイバーコア)/22,000円、仮歯/11,000円、ジルコニアクラウン(スタンダード)/121,000円 合計275,000円(税込)費用は治療当時の料金となります
治療について
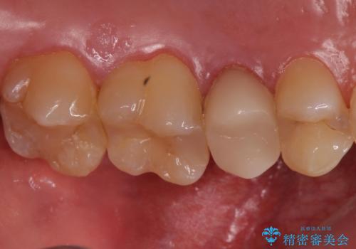
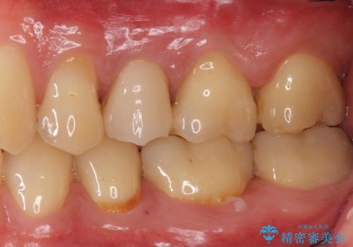
根管内の感染源を可能な限り除去し洗浄しました。
術後は腫れがなくなり特に症状も出ず、メンテナンスに移行しました。
セラミック治療の注意事項(リスク・副作用など)
- 天然歯を削ります
- 硬い素材は天然歯を傷つけてしまう場合があります
- かみ合わせや歯ぎしりが強すぎる方はセラミックが割れてしまう可能性があります
- 自費診療(保険適用外治療)となります
根管治療の注意事項(リスク・副作用など)
- 根管治療により類似の全ての症例の問題が解決するわけではなく、症例はあくまでも一例です
- 根管治療により痛みや腫れがひかない事や、術後に痛みや腫れが生じる事、治療によるファイル破折やパーフォレーションなどの偶発症、術後の歯根破折を生じる可能性もあります
- 自費診療(保険適用外)となります
当サイトの内容、テキスト、画像等の無断転載、複製、複写、盗用を固く禁じます。












