症例詳細
Case detail
金属の詰め物が取れた。セラミックを入れたい! オールセラミッククラウン
治療症例の内容
- 診療科目
- 治療カテゴリ
- 担当医
- 有澤哲郎(ドクタープロフィール)
- 患者様
- 30代女性
- 治療期間
- 2ヶ月
- 治療回数
- 2-5回
- 治療計画
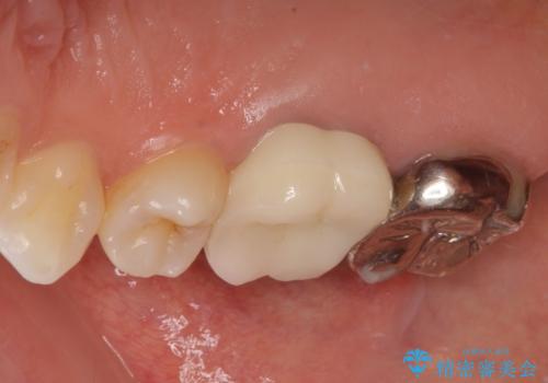
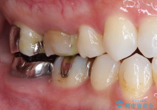
- 奥歯の金属の詰め物が取れたとのことで来院された患者様です。中学生の頃に根管治療を行い、そのあと金属の詰め物をいれていたそうです。
中学生のころに根管治療をしてから特に症状がなく、レントゲンでも病変を認めないため患者様と相談し、再度根管治療は行っていません。
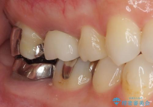
拡大鏡視野下で虫歯の除去を行い、オールセラミッククラウンに適した形に整えました。
型どりはシリコーン印象材にて精密印象をしています。
- 費用(概算)
- 14万円(税込み)費用は治療当時の料金となります
治療について
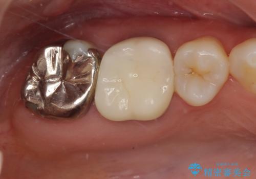
根管治療を施した歯は割れるリスクが上昇するため、詰め物(インレー)ではなく、被せ物(クラウン)にしなければなりません。
適合もよく、機能的に問題もなく、見た目も満足されていました。
今後はメンテナンスで通ってもらいながら、ほかの部位の金属の詰め物が気になったらセラミッククラウンに変えていく予定です。
セラミック治療の注意事項(リスク・副作用など)
- 天然歯を削ります
- 硬い素材は天然歯を傷つけてしまう場合があります
- かみ合わせや歯ぎしりが強すぎる方はセラミックが割れてしまう可能性があります
- 自費診療(保険適用外治療)となります
当サイトの内容、テキスト、画像等の無断転載、複製、複写、盗用を固く禁じます。











