症例詳細
Case detail
ぐらぐらする前歯 前歯のブリッジ治療
治療症例の内容
- 診療科目
- 治療カテゴリ
- 担当医
- 大元洋佑(ドクタープロフィール)
- 患者様
- 30代女性
- 治療期間
- 4ヶ月
- 治療回数
- 2-5回
- 治療計画
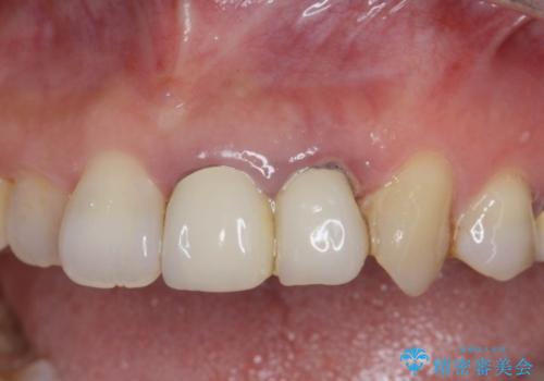
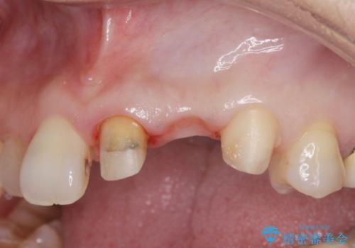
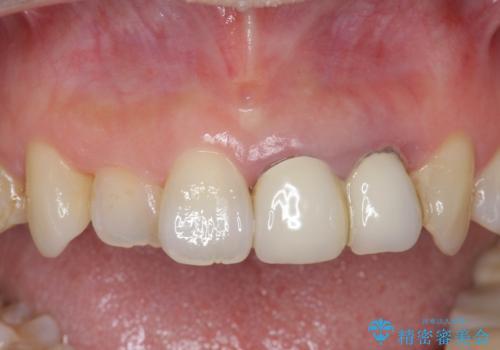
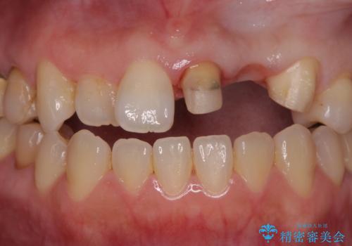
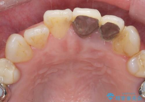
- 前歯がクラグラして噛めないことの改善を求めて来院されました。
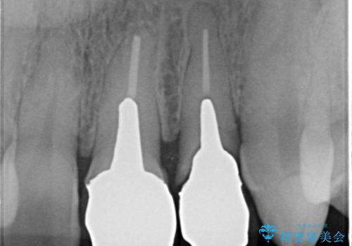
X線撮影や歯周組織検査から、クラウン下の虫歯の再発や歯の破折が疑われる状況でした。
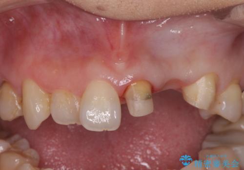
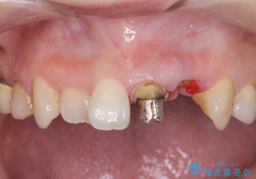
左上2は、クラウン メタルコアの除去を行ったところ虫歯の再発や亀裂を認め、長期的な予後の期待が難しいことから抜歯を行い
ブリッジで審美性の回復を行っていく運びとなりました。
- 費用(概算)
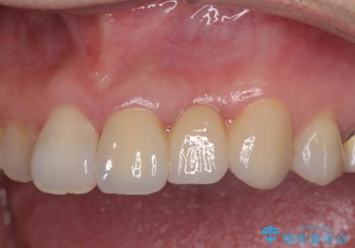
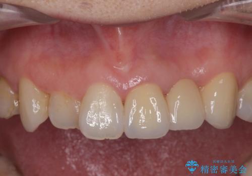
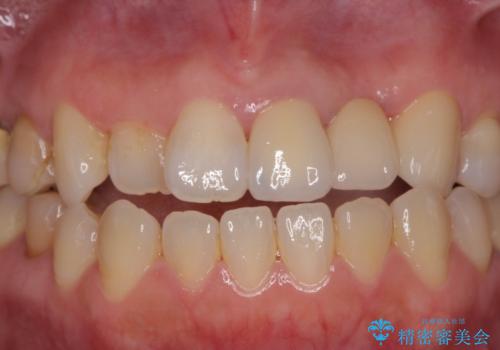
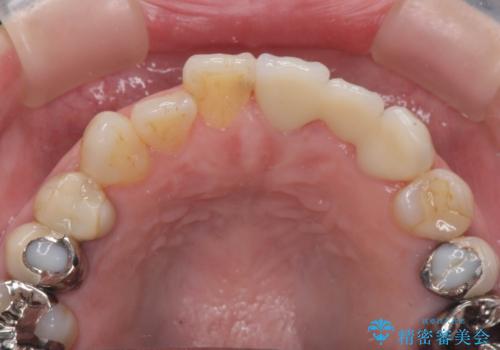
- 39.6万円(ジルコニアクラウン×3・仮歯×3)費用は治療当時の料金となります
治療について
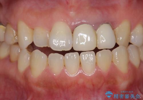
精度、周囲の歯の色調にこだわったオールセラミックブリッジを作製し、しっかりと機能・審美性を改善することができました。
セラミック治療の注意事項(リスク・副作用など)
- 天然歯を削ります
- 硬い素材は天然歯を傷つけてしまう場合があります
- かみ合わせや歯ぎしりが強すぎる方はセラミックが割れてしまう可能性があります
- 自費診療(保険適用外治療)となります
当サイトの内容、テキスト、画像等の無断転載、複製、複写、盗用を固く禁じます。





















