症例詳細
Case detail
【ワイヤー矯正!】歯のでこぼこと捻じれを治したい!
治療症例の内容
- 診療科目
- 担当医
- 河野豊嘉(ドクタープロフィール)
- 患者様
- 20代女性
- 矯正装置
- 審美装置
- 治療期間
- 2年
- 治療回数
- 10-30回
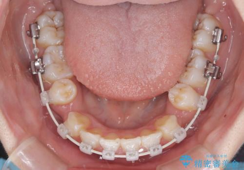
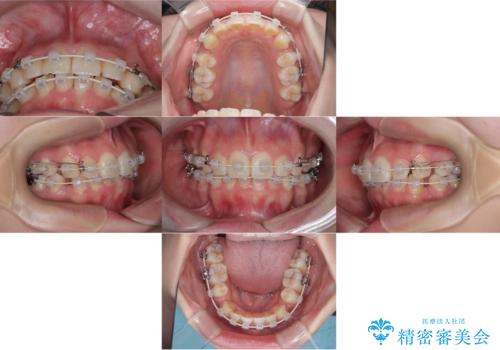
- 治療計画
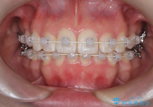
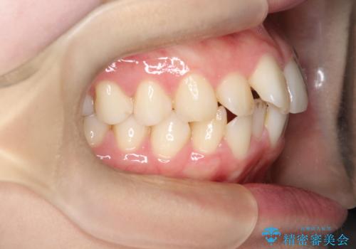
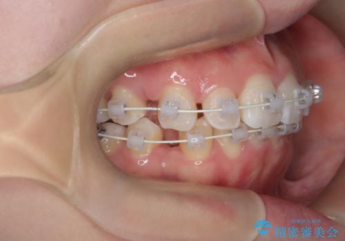
- 「歯のでこぼこと捻じれを治したい」を主訴に来院された患者様です。矯正検査の結果、上顎前歯がかなり唇側傾斜という結果になったので上下左右4番を抜歯をしワイヤー矯正で治療を行いました。
- 費用(概算)
- 税込 1,045,000円費用は治療当時の料金となります
※顔写真掲載にあたり、患者様の了解を得ております
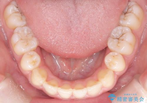
治療について
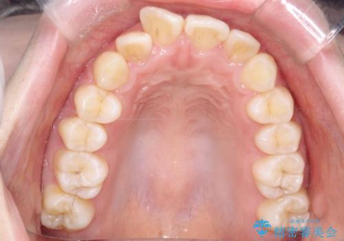
抜歯矯正でしたが順調に治療が進み2年で矯正治療を終えることが出来ました。歯のでこぼこや捻じれが治り、口元も下がって患者さんも大変満足されていました。
ワイヤー矯正の注意事項(リスク・副作用など)
- 治療中は違和感や痛みが起こることがあります
- 症状により、抜歯が必要な場合があります
- 治療中は歯磨きがしにくくなるため、虫歯や歯周病になりやすくなります
- 矯正治療後の保定が不十分だと後戻り(元の位置に戻ろうとする動き)をします
- 自費診療(保険適用外)となります
当サイトの内容、テキスト、画像等の無断転載、複製、複写、盗用を固く禁じます。

























