症例詳細
Case detail
違和感のある前歯をセラミックにしたい
治療症例の内容
- 診療科目
- 治療カテゴリ
- 担当医
- 齋藤佑磨(ドクタープロフィール)
- 患者様
- 20代女性
- 治療期間
- 2ヶ月
- 治療回数
- 2-5回
- 治療計画
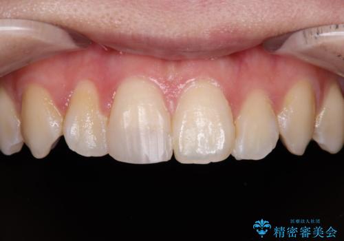
- 前歯が欠けてしまい、保険診療の樹脂の材料で修復していた前歯をきれいにしたいと来院された患者様です。
歯の約半分が欠けてしまっているため、樹脂の材料での修復には限界があります。
土台の形を整えて、精度の高いシリコーンによる型どりを行いました。
セラミックが入るまでの間は仮歯にしています。
- 費用(概算)
- 17万円(税込)費用は治療当時の料金となります
治療について
樹脂の材料では再現できない自然な前歯に仕上がりました。
セラミック治療の注意事項(リスク・副作用など)
- 天然歯を削ります
- 硬い素材は天然歯を傷つけてしまう場合があります
- かみ合わせや歯ぎしりが強すぎる方はセラミックが割れてしまう可能性があります
- 自費診療(保険適用外治療)となります
当サイトの内容、テキスト、画像等の無断転載、複製、複写、盗用を固く禁じます。








