症例詳細
Case detail
【VPT/歯髄温存療法・オールセラミッククラウン】虫歯が深く神経まで達していたが健康な神経は残す治療!
治療症例の内容
- 診療科目
- 治療カテゴリ
- 担当医
- 河野豊嘉(ドクタープロフィール)
- 患者様
- 20代女性
- 治療期間
- 1ヶ月
- 治療回数
- 2-5回
- 治療計画
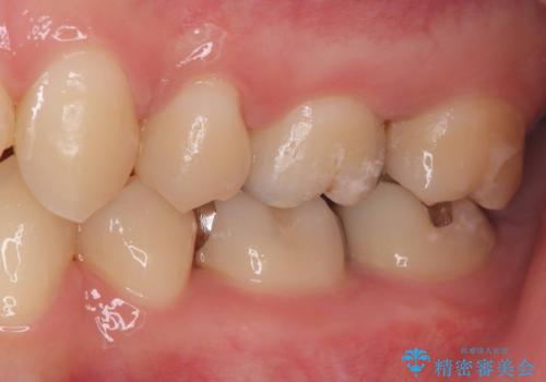
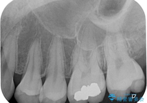
- 虫歯が神経まで達していたのですが、術前の検査と顕微鏡下で見た神経の状態からVPTの適応と判断し神経を残す治療をしました。
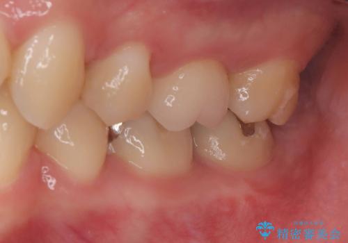
矯正治療も当院で行ったので、矯正治療終了後オールセラミッククラウンで治療を行いました。
- 費用(概算)
- 176,000円(VPT・歯髄温存療法44,000円オールセラミッククラウンスタンダード121,000円+仮歯11,000円)費用は治療当時の料金となります
治療について
汚染されている神経は除去し残りの神経を残すためVPTを行いバイオセラミックのバイオシーシーラーで充填しオールセラミッククラウンで治療を行いました。治療後2年経過しましたが、神経は温存され経過は良好です。
セラミック治療の注意事項(リスク・副作用など)
- 天然歯を削ります
- 硬い素材は天然歯を傷つけてしまう場合があります
- かみ合わせや歯ぎしりが強すぎる方はセラミックが割れてしまう可能性があります
- 自費診療(保険適用外治療)となります
その他の注意事項(リスク・副作用など)
- 担当歯科医師、歯科衛生士又は医院スタッフから受けた説明・注意事項をよくご確認ください
- 医療を提供するに当たり、適切な説明を行い、患者様の十分な理解を得るよう努めております
当サイトの内容、テキスト、画像等の無断転載、複製、複写、盗用を固く禁じます。








