症例詳細
Case detail
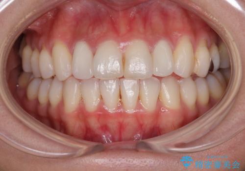
金属が見えて不自然な前歯をきれいにしたい
治療症例の内容
- 診療科目
- 治療カテゴリ
- 担当医
- 齋藤佑磨(ドクタープロフィール)
- 患者様
- 20代男性
- 治療期間
- 3ヶ月
- 治療回数
- 2-5回
- 治療計画
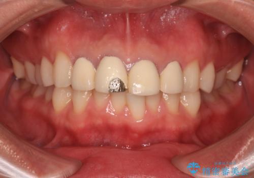
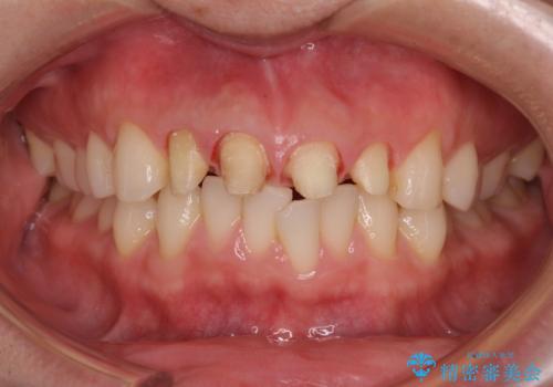
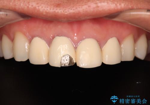
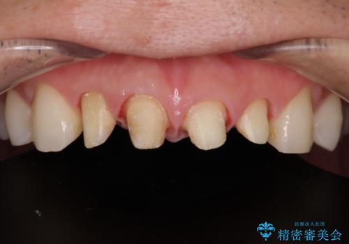
- 以前他院で治療を行った前歯の被せものが欠けてしまい、きれいなセラミックにしたいと来院された患者様です。
 人工物のような印象が強くあまり自然とは言えない状態でした。
 また被せものと土台の間に隙間があり、適合もよくない状態でした。
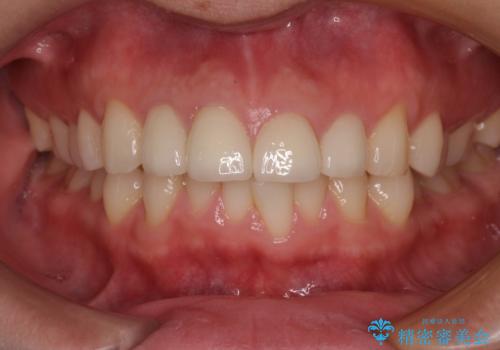
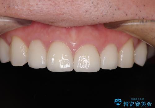
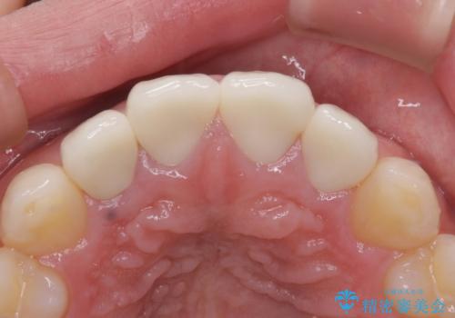
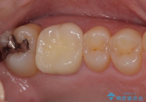
 根管治療のやり直しは希望されなかったため、土台のやり替えと、より自然なオールセラミッククラウンへのやり替えを行いました。
- 費用(概算)
- 73万円(税込)費用は治療当時の料金となります
治療について
自然できれなオールセラミッククラウンになり、とても満足されました。
セラミック治療の注意事項(リスク・副作用など)
- 天然歯を削ります
- 硬い素材は天然歯を傷つけてしまう場合があります
- かみ合わせや歯ぎしりが強すぎる方はセラミックが割れてしまう可能性があります
- 自費診療(保険適用外治療)となります
当サイトの内容、テキスト、画像等の無断転載、複製、複写、盗用を固く禁じます。








 
                       
                                                          










 
                   
                   
                  