症例詳細
Case detail
前歯のセラミックをやり替えたい
治療症例の内容
- 診療科目
- 治療カテゴリ
- 担当医
- 齋藤佑磨(ドクタープロフィール)
- 患者様
- 30代男性
- 治療期間
- 2ヶ月
- 治療回数
- 2-5回
- 治療計画
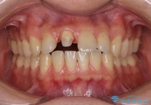
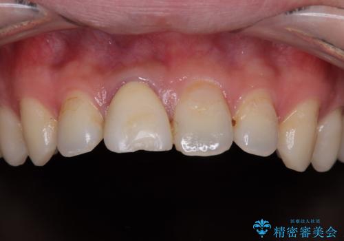
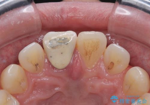
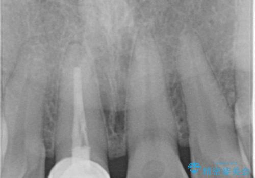
- 数年前に前歯のセラミック治療を行い、そのやり替えを希望して来院された患者様です。
先端が欠けてしまっていて、色も少し不自然な印象があります。
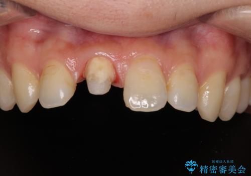
空隙がある歯並び改善のため、矯正治療も提案しましたが希望せれず、隣の歯も一緒に被せものにして、
大きさをそろえることも希望されなかったため、一本だけやり替えていくととしました。
- 費用(概算)
- 19万円(税込)費用は治療当時の料金となります
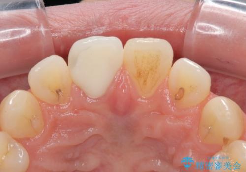
治療について
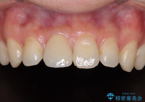
隣の歯と色が調和して、自然な仕上がりで満足されました。
セラミック治療の注意事項(リスク・副作用など)
- 天然歯を削ります
- 硬い素材は天然歯を傷つけてしまう場合があります
- かみ合わせや歯ぎしりが強すぎる方はセラミックが割れてしまう可能性があります
- 自費診療(保険適用外治療)となります
当サイトの内容、テキスト、画像等の無断転載、複製、複写、盗用を固く禁じます。











