症例詳細
Case detail
前歯治したい『根管治療 セラミック治療』
治療症例の内容
- 診療科目
- 治療カテゴリ
- 担当医
- 菊地俊介(ドクタープロフィール)
- 患者様
- 30代女性
- 治療期間
- 5ヶ月
- 治療回数
- 5-10回
- 治療計画
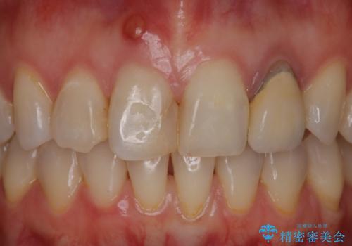
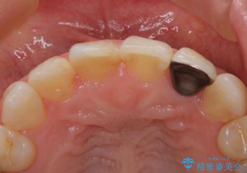
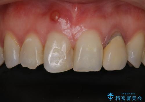
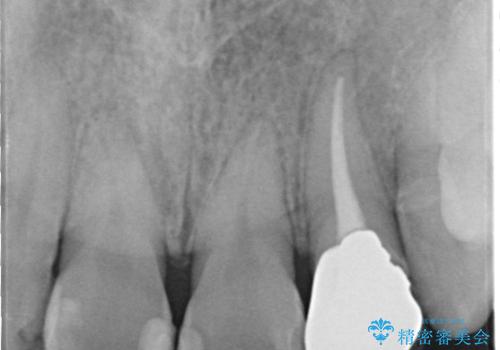
- 患者様は前歯にできものができたということで来院されました。
歯髄診断を行い、失活していると判断して根管治療を行いました。
- 費用(概算)
- 57.8万円費用は治療当時の料金となります
治療について
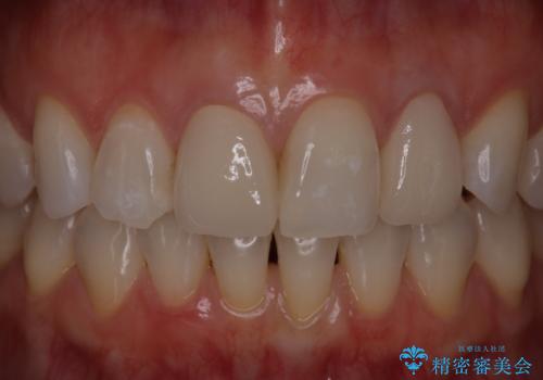
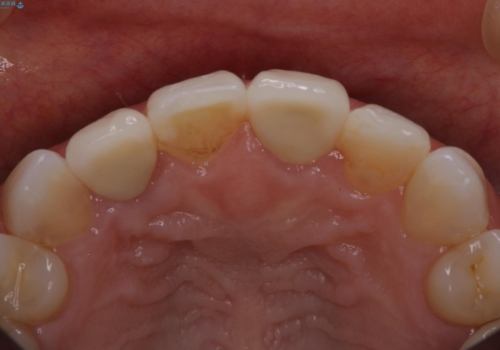
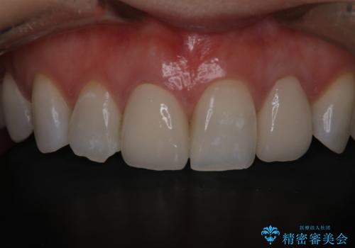
歯茎の出来もながなくなり、患者様にセラミックの色も満足いただけました。
セラミック治療の注意事項(リスク・副作用など)
- 天然歯を削ります
- 硬い素材は天然歯を傷つけてしまう場合があります
- かみ合わせや歯ぎしりが強すぎる方はセラミックが割れてしまう可能性があります
- 自費診療(保険適用外治療)となります
当サイトの内容、テキスト、画像等の無断転載、複製、複写、盗用を固く禁じます。










