症例詳細
Case detail
前歯の見た目をオールセラミッククラウンで改善
治療症例の内容
- 診療科目
- 治療カテゴリ
- 担当医
- 大元洋佑(ドクタープロフィール)
- 患者様
- 40代女性
- 治療期間
- 3ヶ月
- 治療回数
- 5-10回
- 治療計画
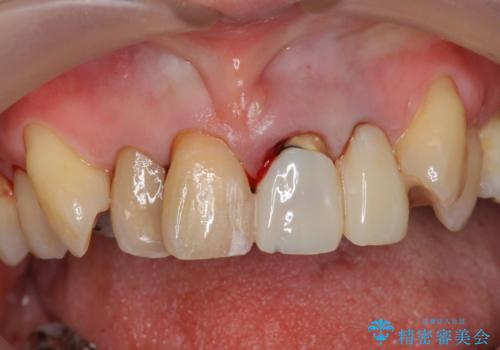
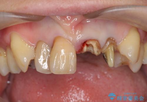
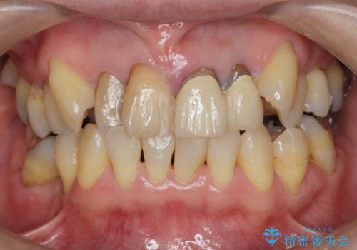
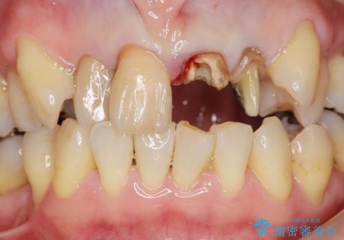
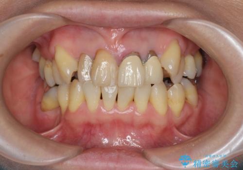
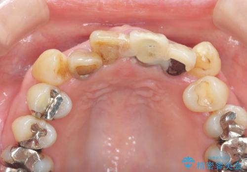
- 前歯のぐらつき、見た目の改善を希望され来院されました。
ぐらつきのある歯は、破折が認められ、その他前歯も不十分な根管治療や不適合なクラウン、レジン修復により審美障害が起きています。
問題を一つづつ丁寧に解決し、前歯の審美性の改善を計画します。
- 費用(概算)
- 52.8万円(ジルコニアクラウン×4・仮歯×4)費用は治療当時の料金となります
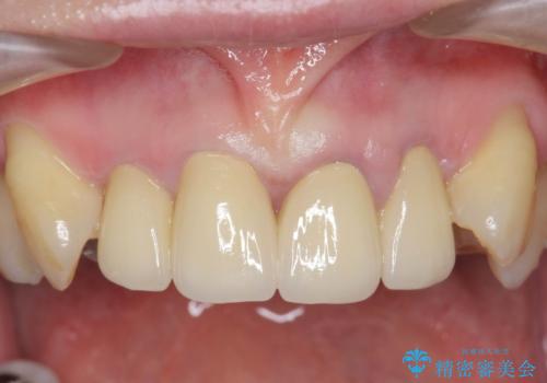
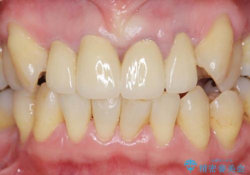
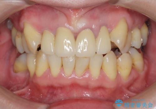
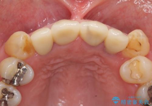
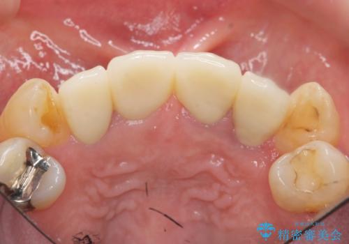
治療について
オールセラミックによる審美的な仕上がりに満足いただくことができました。
セラミック治療の注意事項(リスク・副作用など)
- 天然歯を削ります
- 硬い素材は天然歯を傷つけてしまう場合があります
- かみ合わせや歯ぎしりが強すぎる方はセラミックが割れてしまう可能性があります
- 自費診療(保険適用外治療)となります
当サイトの内容、テキスト、画像等の無断転載、複製、複写、盗用を固く禁じます。

















