症例詳細
Case detail
八重歯を治す 非抜歯のワイヤー矯正治療
治療症例の内容
- 診療科目
- 担当医
- 藤巻太一朗(ドクタープロフィール)
- 患者様
- 30代女性
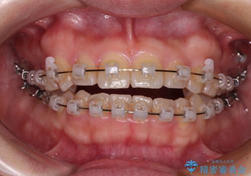
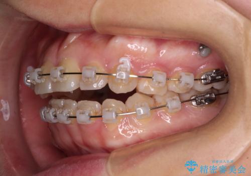
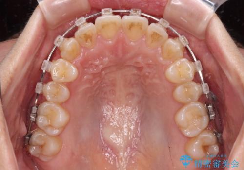
- 矯正装置
- クリアブラケット
- 治療期間
- 1年7ヶ月
- 治療回数
- 10-30回
- 治療計画
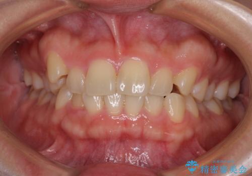
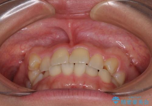
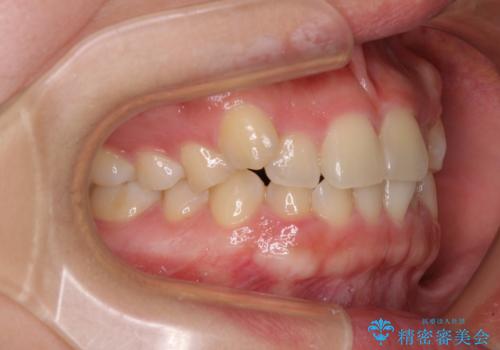
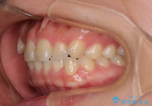
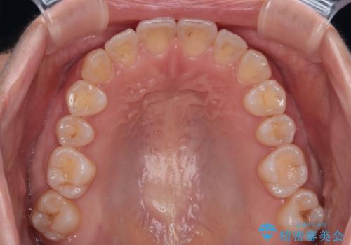
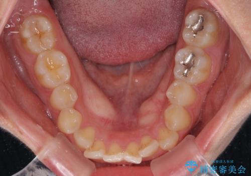
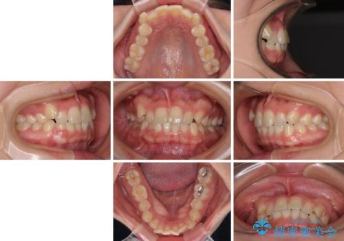
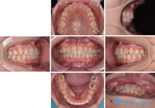
- 左右の八重歯を気にして来院された患者様です。
 ワイヤー装置でもマウスピースでも対応可能な歯列でしたが、マウスピース矯正は自己管理が煩わしいとのことでワイヤー矯正を選択されました。
 八重歯である犬歯は歯根が長いため、上顎前歯が出っ歯になるリスクがあるため、必要に応じてアンカースクリューを用いて奥歯を後方に移動させる可能性をお伝えしました。
- 費用(概算)
- 治療費の目安: 95万円(税込)費用は治療当時の料金となります
治療について
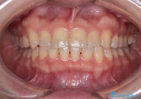
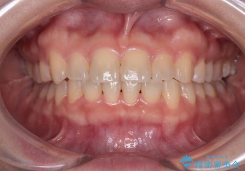
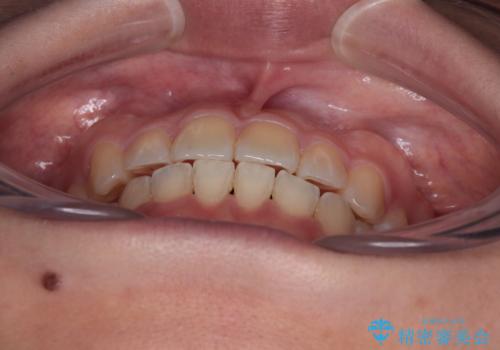
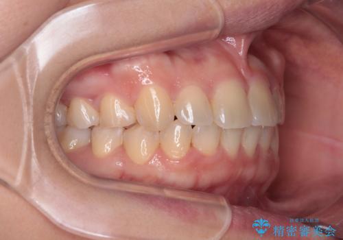
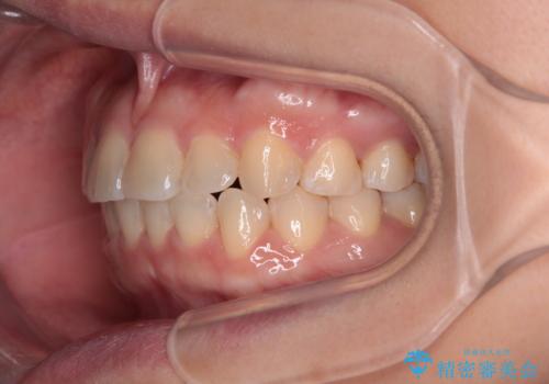
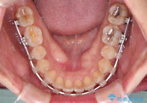
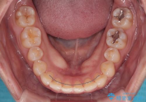
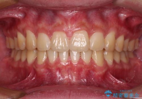
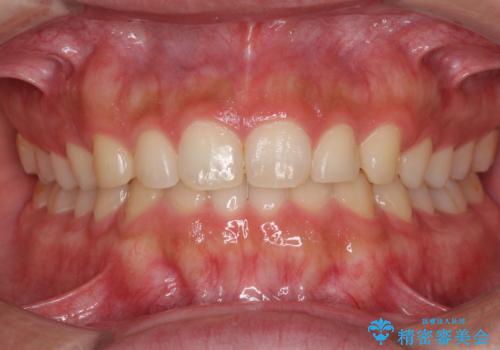
舌の突出癖により上下前歯が開咬となりましたが、舌のトレーニングと顎間ゴムの使用により、元々の被蓋関係に改善することができました。
アンカースクリューを用いて、出っ歯仕上がりを回避し、正中位置も改善することができました。
ワイヤー矯正の注意事項(リスク・副作用など)
- 治療中は違和感や痛みが起こることがあります
- 症状により、抜歯が必要な場合があります
- 治療中は歯磨きがしにくくなるため、虫歯や歯周病になりやすくなります
- 矯正治療後の保定が不十分だと後戻り(元の位置に戻ろうとする動き)をします
- 自費診療(保険適用外)となります
当サイトの内容、テキスト、画像等の無断転載、複製、複写、盗用を固く禁じます。








 
                       
                                                          

























 
                   
                   
                  