症例詳細
Case detail
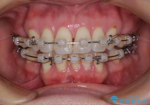
前方に飛び出した前歯 ワイヤー装置での抜歯矯正
治療症例の内容
- 診療科目
- 担当医
- 藤巻太一朗(ドクタープロフィール)
- 患者様
- 30代女性
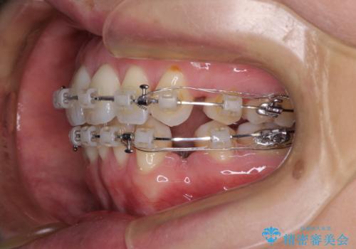
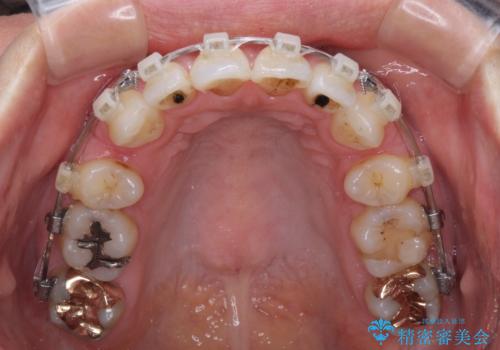
- 矯正装置
- クリアブラケット
- 治療期間
- 2年3ヶ月
- 治療回数
- 10-30回
- 治療計画
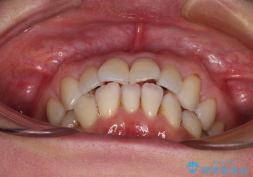
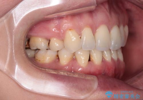
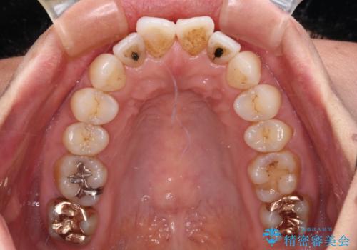
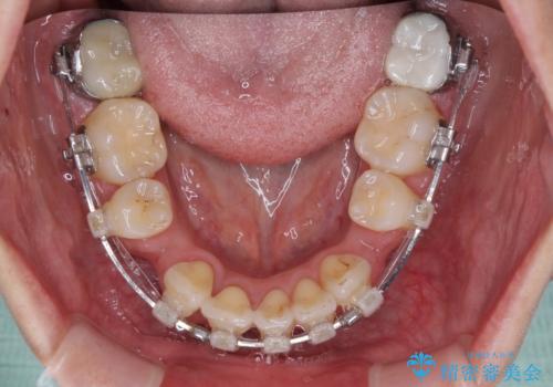
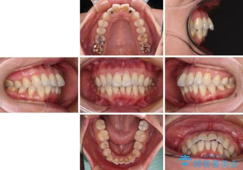
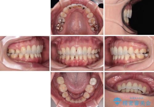
- 前方に飛び出した前歯を気にして来院された患者様です。
通常であれば上下左右の第一小臼歯4本を抜歯して口元の突出感を改善しますが、下顎前歯が1本欠損しており、上下の歯の数がアンバランスであるため、4本抜歯するかどうか悩むところでした。
上顎前歯はやや小さめで、下顎前歯はやや大きめであったため、上下左右4本を抜歯しても左右奥歯の咬み合わせは理想に近い状態を達成できると判断し、上下左右の第一小臼歯4本を抜歯し、ワイヤー装置にて矯正治療を行うこととしました。
- 費用(概算)
- 治療費の目安: 100万円(税込)費用は治療当時の料金となります
治療について
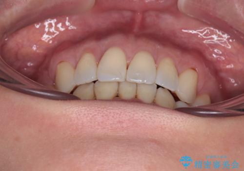
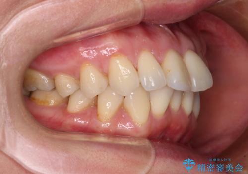
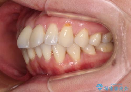
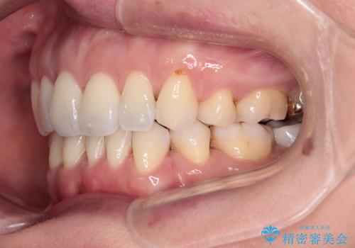
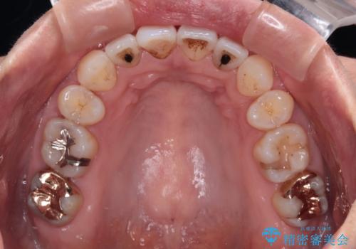
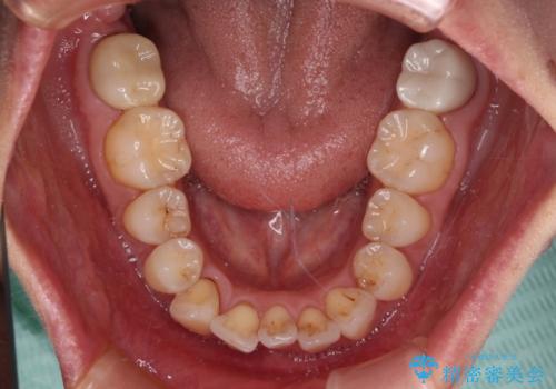
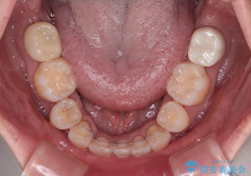
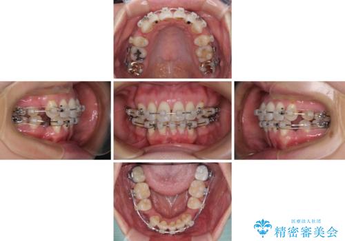
当初目論見通り、左右奥歯の咬み合わせはしっかりとさせることができました。
下唇に跡がつくほど飛び出していた上顎前歯も引っ込み、満足のいく仕上がりとなりました。
ワイヤー矯正の注意事項(リスク・副作用など)
- 治療中は違和感や痛みが起こることがあります
- 症状により、抜歯が必要な場合があります
- 治療中は歯磨きがしにくくなるため、虫歯や歯周病になりやすくなります
- 矯正治療後の保定が不十分だと後戻り(元の位置に戻ろうとする動き)をします
- 自費診療(保険適用外)となります
当サイトの内容、テキスト、画像等の無断転載、複製、複写、盗用を固く禁じます。


























