症例詳細
Case detail
【モニター】飛び出した上顎前歯を抜歯矯正で引っ込める ワイヤー装置の抜歯矯正治療
治療症例の内容
- 診療科目
- 担当医
- 藤巻太一朗(ドクタープロフィール)
- 患者様
- 30代女性
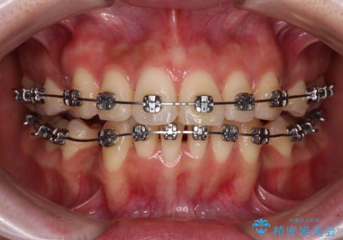
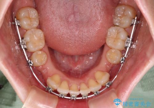
- 矯正装置
- メタルブラケット
- 治療期間
- 2年2ヶ月
- 治療回数
- 10-30回
- 治療計画
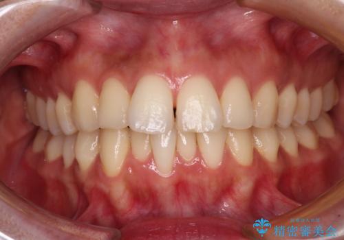
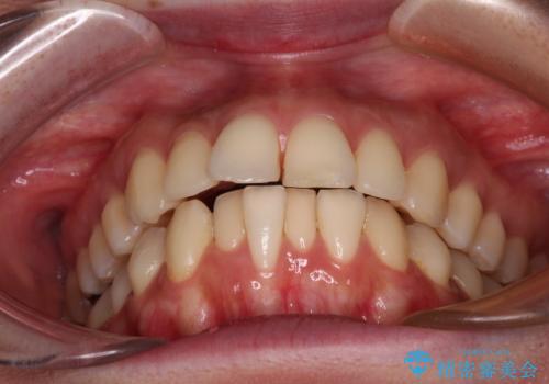
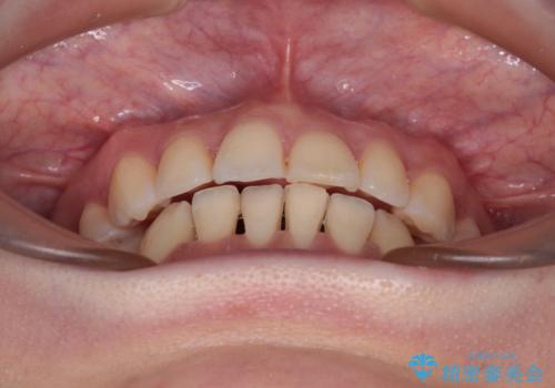
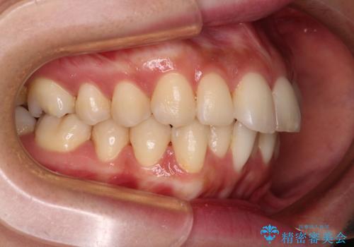
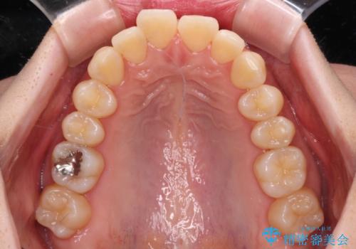
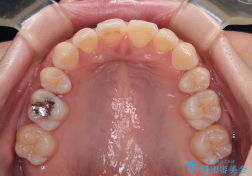
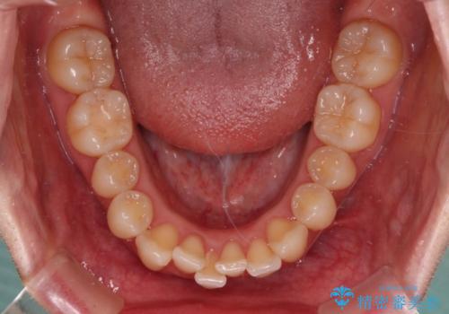
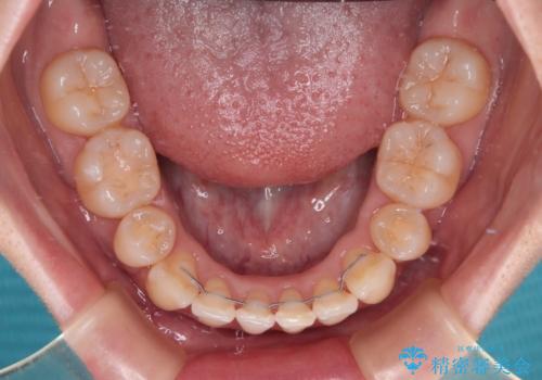
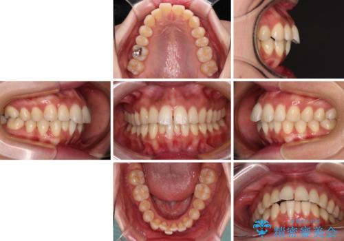
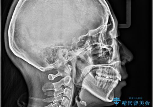
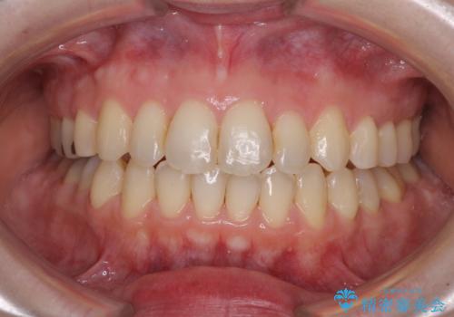
- 口元の閉じにくさを気にして来院された患者様です。
上下ともに歯列が前方に突出していたため、上下左右の第一小臼歯4本を抜去し、ワイヤー装置による矯正治療を行うこととしました。
舌の突出癖による影響もあったため、舌のトレーニングを並行して実施しました。
- 費用(概算)
- 治療費の目安: 80万円(税込)費用は治療当時の料金となります
※顔写真掲載にあたり、患者様の了解を得ております
治療について
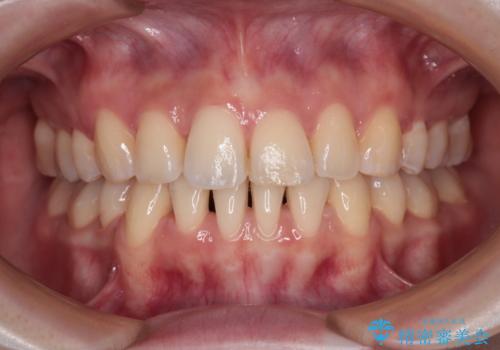
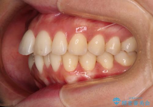
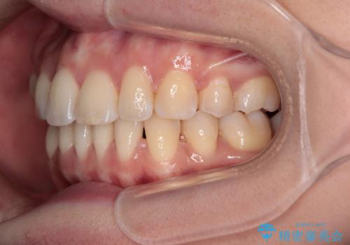
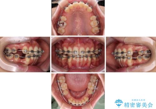
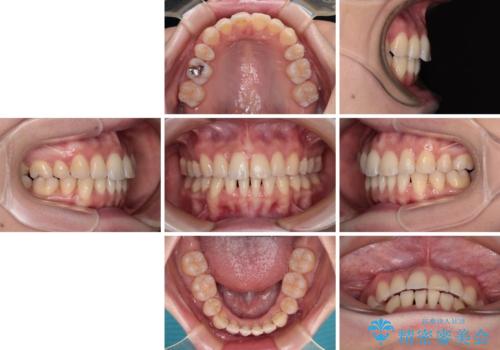
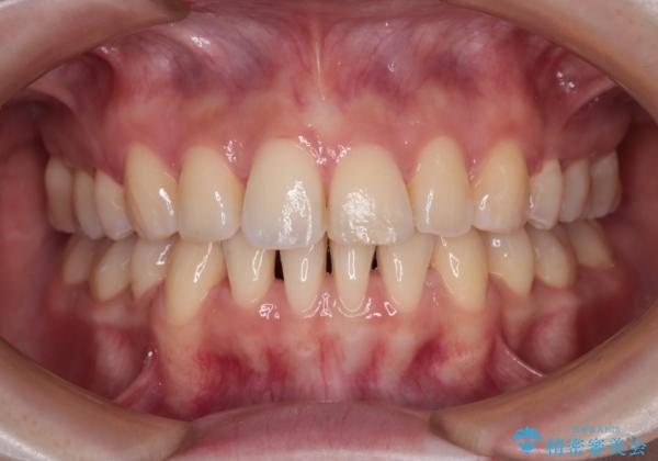
舌の突出癖がなかなか改善されず、上下前歯の接触がやや甘い状態での仕上がりとなりました。
接触が甘い場合、上顎前歯の叢生が後戻りを起こしやすくなるため、治療終了後の保定期間でも舌のトレーニングを継続するように指示しています。
ワイヤー矯正の注意事項(リスク・副作用など)
- 治療中は違和感や痛みが起こることがあります
- 症状により、抜歯が必要な場合があります
- 治療中は歯磨きがしにくくなるため、虫歯や歯周病になりやすくなります
- 矯正治療後の保定が不十分だと後戻り(元の位置に戻ろうとする動き)をします
- 自費診療(保険適用外)となります
当サイトの内容、テキスト、画像等の無断転載、複製、複写、盗用を固く禁じます。


























