症例詳細
Case detail
【モニター】八重歯と正中のずれた歯列 片顎抜歯のワイヤー矯正
治療症例の内容
- 診療科目
- 担当医
- 藤巻太一朗(ドクタープロフィール)
- 患者様
- 30代男性
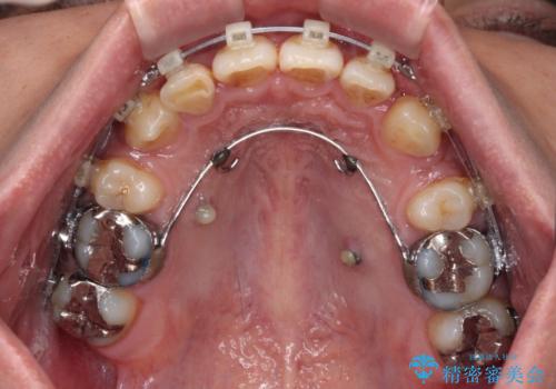
- 矯正装置
- クリアブラケット
- 治療期間
- 2年8ヶ月
- 治療回数
- 10-30回
- 治療計画
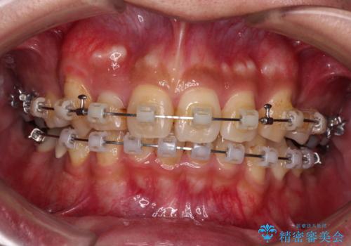
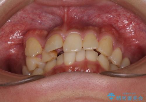
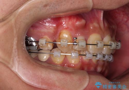
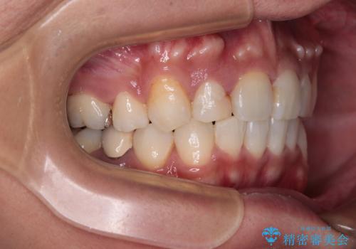
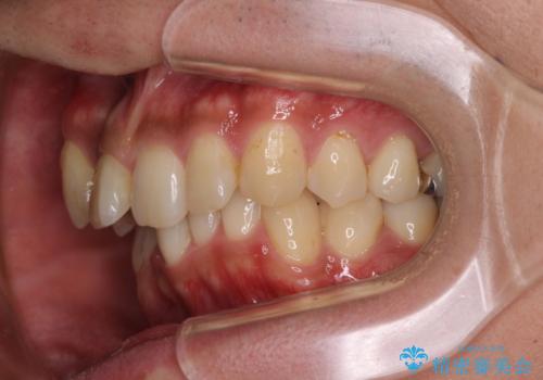
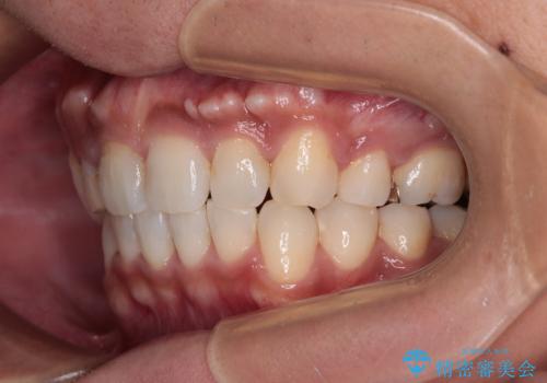
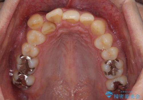
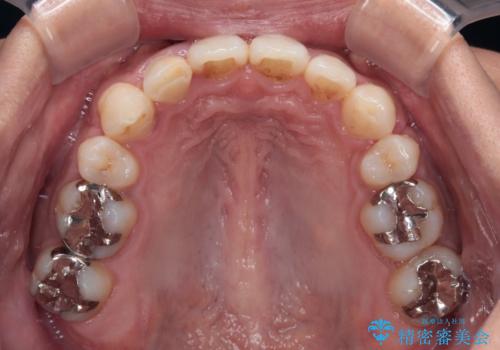
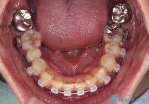
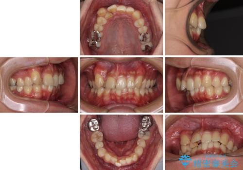
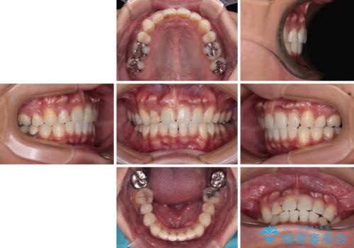
- 上顎の八重歯と正中のズレを気にして来院された患者様です。
八重歯による叢生は著しく、それにより上顎の正中が大きく右にずれている状態でした。
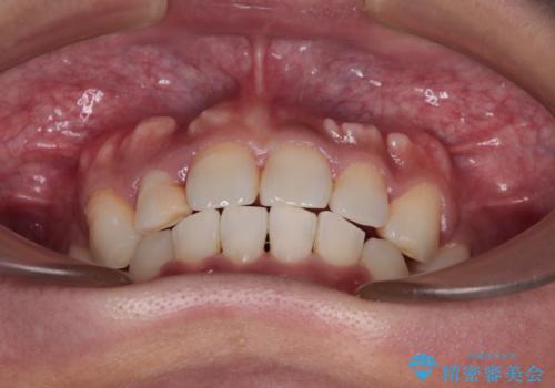
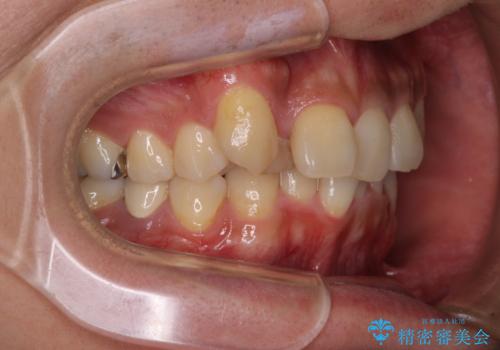
口元の突出感は感じていなかったことと、奥歯の咬み合わせを考慮し、上顎のみ左右の第一小臼歯を抜歯してワイヤー装置にて矯正治療を行うこととしました。
- 費用(概算)
- 治療費の目安: 95万円(税込)費用は治療当時の料金となります
※顔写真掲載にあたり、患者様の了解を得ております
治療について
補助装置を併用することで効率的に八重歯や正中位置の改善を達成することができました。
ワイヤー矯正の注意事項(リスク・副作用など)
- 治療中は違和感や痛みが起こることがあります
- 症状により、抜歯が必要な場合があります
- 治療中は歯磨きがしにくくなるため、虫歯や歯周病になりやすくなります
- 矯正治療後の保定が不十分だと後戻り(元の位置に戻ろうとする動き)をします
- 自費診療(保険適用外)となります
当サイトの内容、テキスト、画像等の無断転載、複製、複写、盗用を固く禁じます。


























