症例詳細
Case detail
顎が左右にずれた咬み合わせ ハーフリンガルの抜歯矯正
治療症例の内容
- 担当医
- 藤巻太一朗(ドクタープロフィール)
- 患者様
- 30代男性
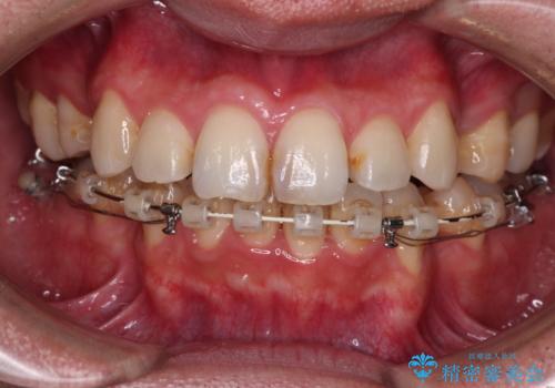
- 矯正装置
- ハーフリンガル
- 治療期間
- 3年10ヶ月
- 治療回数
- 30回以上
- 治療計画
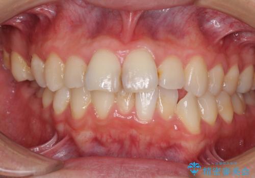
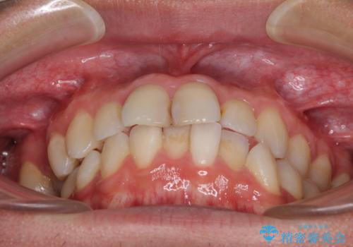
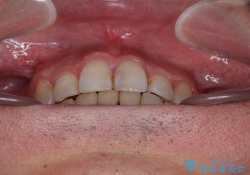
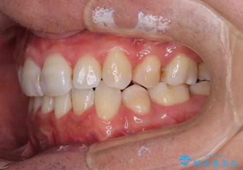
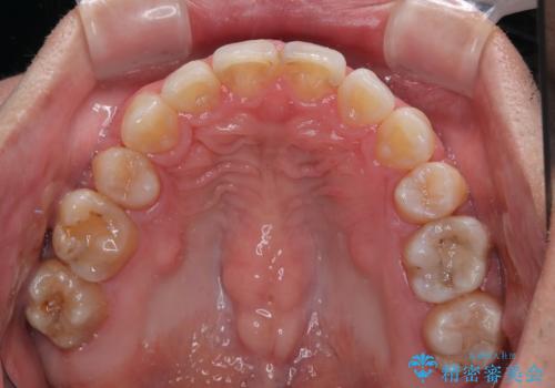
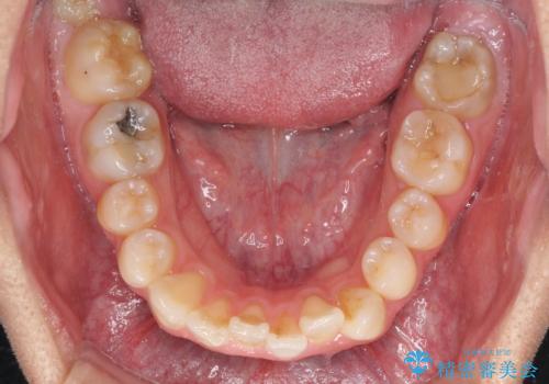
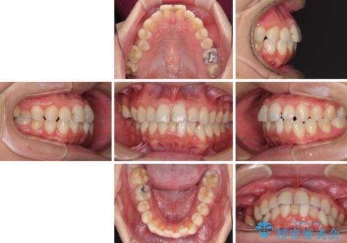
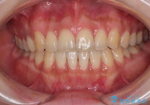
- 口元の突出感を気にして来院された患者様です。
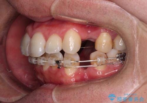
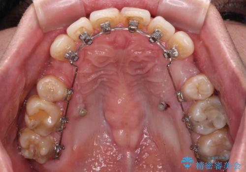
目立たない装置を希望され、上顎が裏側装置で下顎が表側装置のハーフリンガルを希望されました。
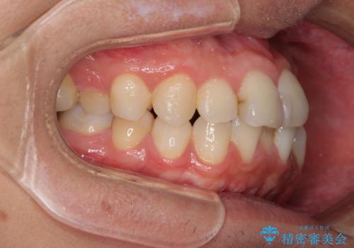
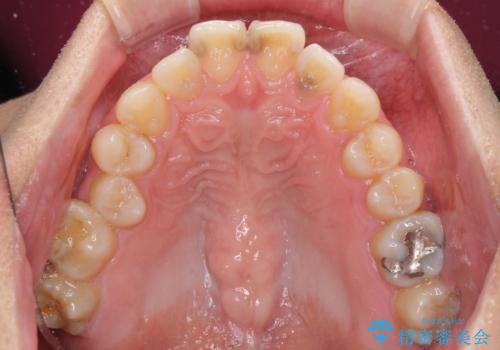
上下の顎骨が左右に大きくずれており、奥歯が交叉咬合となっていたため、ハーフリンガルよりも表側装置をおすすめしましたが、目立たない装置を強く希望されたため、治療期間が長期化することを前提に、ハーフリンガルにて抜歯矯正を行うこととしました。
- 費用(概算)
- 治療費の目安: 135万円(税込)費用は治療当時の料金となります
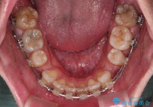
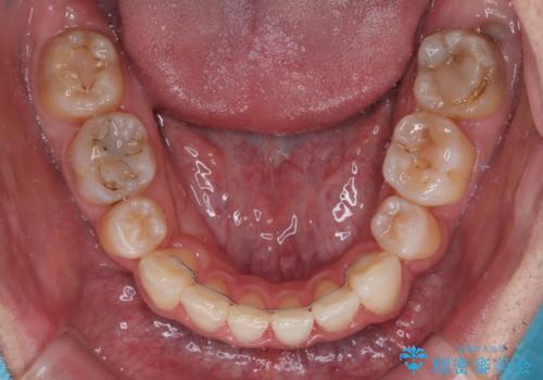
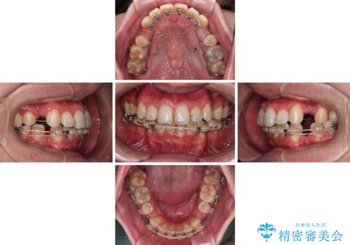
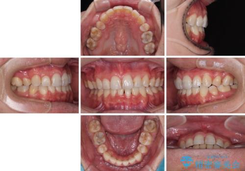
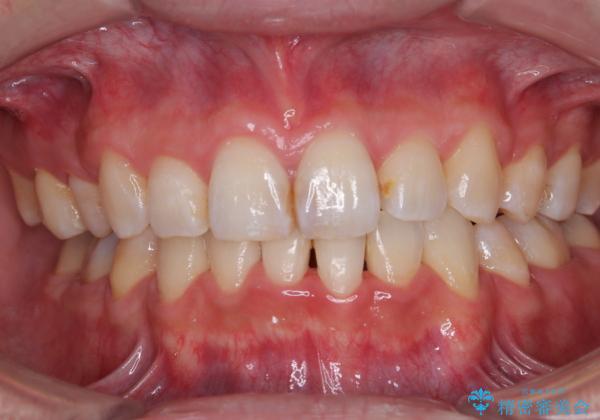
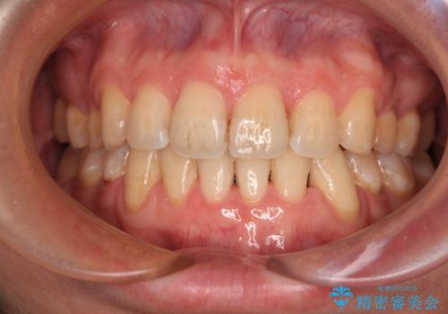
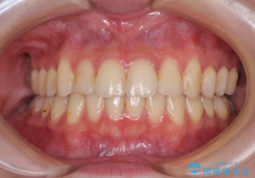
治療について
裏側装置での交叉咬合改善は非常に困難なもので、頻繁に装置の脱落がありました。
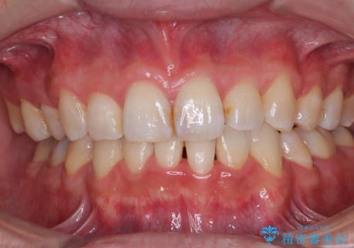
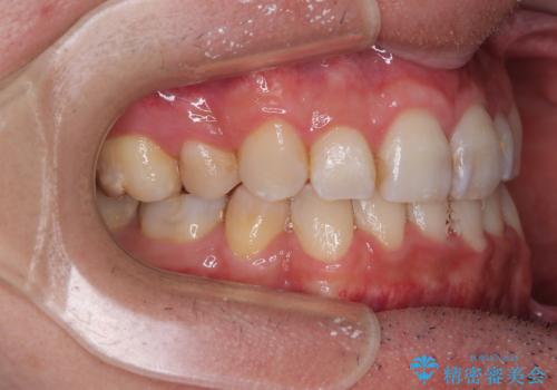
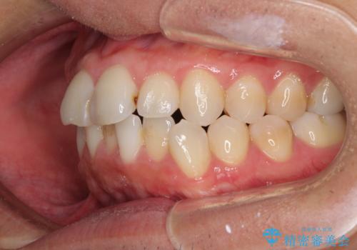
それでも想定以上に治療期間は長期化せず、咬み合わせも口元も満足のいく仕上がりとなりました。
ワイヤー矯正の注意事項(リスク・副作用など)
- 治療中は違和感や痛みが起こることがあります
- 症状により、抜歯が必要な場合があります
- 治療中は歯磨きがしにくくなるため、虫歯や歯周病になりやすくなります
- 矯正治療後の保定が不十分だと後戻り(元の位置に戻ろうとする動き)をします
- 自費診療(保険適用外)となります
当サイトの内容、テキスト、画像等の無断転載、複製、複写、盗用を固く禁じます。


























