症例詳細
Case detail
ぶつけて変色した前歯 オールセラミッククラウン治療
治療症例の内容
- 診療科目
- 治療カテゴリ
- 担当医
- 藤巻太一朗(ドクタープロフィール)
- 患者様
- 30代男性
- 治療期間
- 3ヶ月
- 治療回数
- 5-10回
- 治療計画
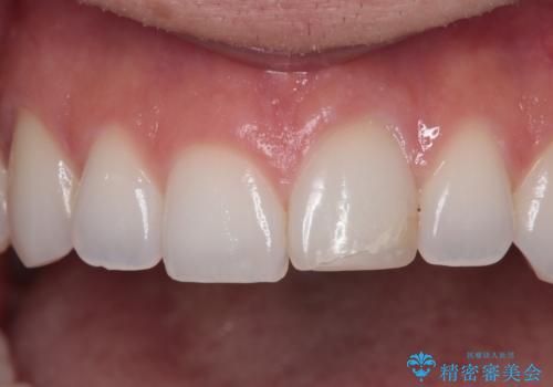
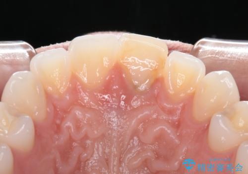
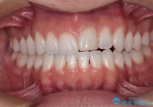
- 以前ぶつけて神経を取り除いてから、徐々に変色してきた前歯が気になるとのことで来院された患者様です。
神経を取り除いた歯の変色はホワイトニングでは十分に改善できないため、オールセラミッククラウンにて補綴治療を行うこととしました。
定期的にホワイトニングをされていることや、前歯の歯列が左右非対称であることから、色合いや形態の修正が多くなることが予想されたため、オーダーメイドタイプのグレードを選択していただき、治療を進めて行くこととしました。
- 費用(概算)
- 治療費の目安: 18万円(税込)費用は治療当時の料金となります
治療について
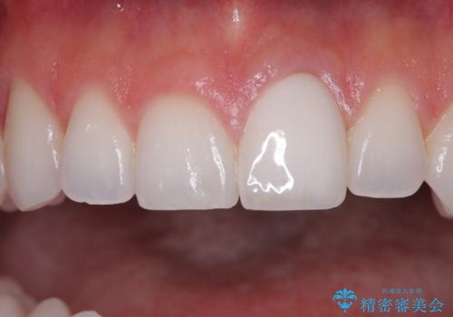
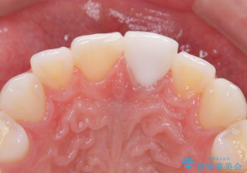
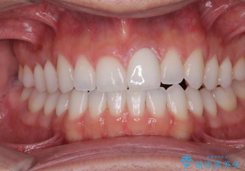
予想通り色と形の修正が多く必要となりましたが、最終的には納得のいく仕上がりとなりました。
セラミック治療の注意事項(リスク・副作用など)
- 天然歯を削ります
- 硬い素材は天然歯を傷つけてしまう場合があります
- かみ合わせや歯ぎしりが強すぎる方はセラミックが割れてしまう可能性があります
- 自費診療(保険適用外治療)となります
当サイトの内容、テキスト、画像等の無断転載、複製、複写、盗用を固く禁じます。












