症例詳細
Case detail
【審美装置】上下の前歯をきれいにしたい
治療症例の内容
- 診療科目
- 治療カテゴリ
- 担当医
- 菊地俊介(ドクタープロフィール)
- 患者様
- 20代女性
- 矯正装置
- 審美装置
- 治療期間
- 1年8ヶ月
- 治療回数
- 10-30回
- 治療計画
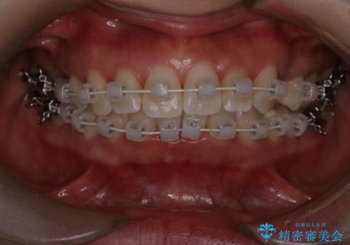
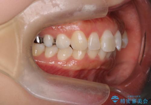
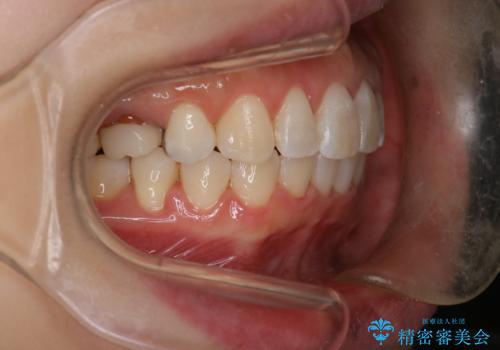
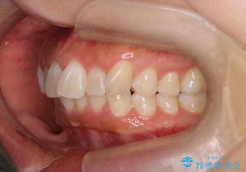
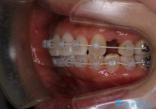
- 上下前歯のがたつきを主訴に来院されました。
口元も下げたいということもあり、上2本抜歯を行い治療を行いました。
- 費用(概算)
- 82万円費用は治療当時の料金となります
治療について
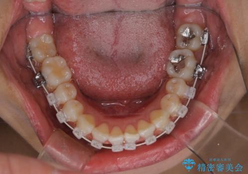
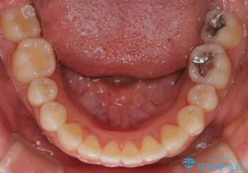
抜歯を行い、前歯のがたつき、前歯の出ているところを改善できました。
患者様の満足感も高く治療を終えられました。
ワイヤー矯正の注意事項(リスク・副作用など)
- 治療中は違和感や痛みが起こることがあります
- 症状により、抜歯が必要な場合があります
- 治療中は歯磨きがしにくくなるため、虫歯や歯周病になりやすくなります
- 矯正治療後の保定が不十分だと後戻り(元の位置に戻ろうとする動き)をします
- 自費診療(保険適用外)となります
当サイトの内容、テキスト、画像等の無断転載、複製、複写、盗用を固く禁じます。
















