症例詳細
Case detail
銀歯を白くしたい オールセラミッククラウン
治療症例の内容
- 診療科目
- 治療カテゴリ
- 担当医
- 有澤哲郎(ドクタープロフィール)
- 患者様
- 30代男性
- 治療期間
- 1ヶ月
- 治療回数
- 2-5回
- 治療計画
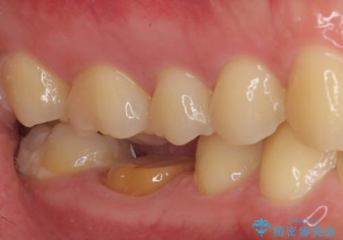
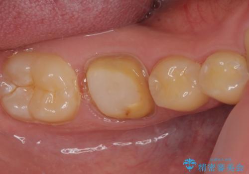
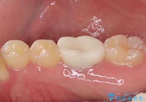
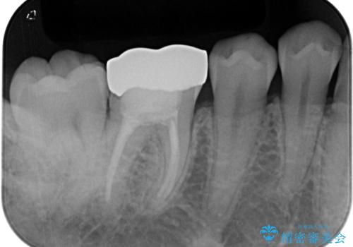
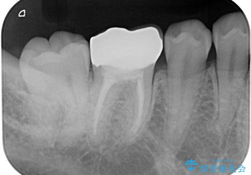
- 銀歯を白くしたいとのことで来院された患者様です。
拡大鏡視野下にて、銀歯を外して、虫歯を除去して、オールセラミッククラウンに適した形に削りました。
型どりはシリコーン印象材にて型どりしています。
- 費用(概算)
- 14万円(税込み)費用は治療当時の料金となります
治療について
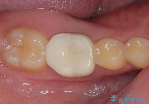
見た目、噛み合わせともに満足していただけました。
歯質と被せ物(クラウン)の境目も適合の良いものができました。
セラミック治療の注意事項(リスク・副作用など)
- 天然歯を削ります
- 硬い素材は天然歯を傷つけてしまう場合があります
- かみ合わせや歯ぎしりが強すぎる方はセラミックが割れてしまう可能性があります
- 自費診療(保険適用外治療)となります
当サイトの内容、テキスト、画像等の無断転載、複製、複写、盗用を固く禁じます。











