症例詳細
Case detail
リアルな歯の色調にこだわるオールセラミッククラウン治療
治療症例の内容
- 診療科目
- 治療カテゴリ
- 担当医
- 大元洋佑(ドクタープロフィール)
- 患者様
- 20代女性
- 治療期間
- 1ヶ月
- 治療回数
- 2-5回
- 治療計画
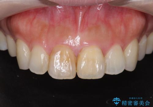
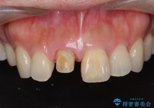
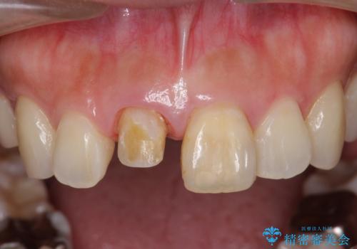
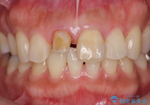
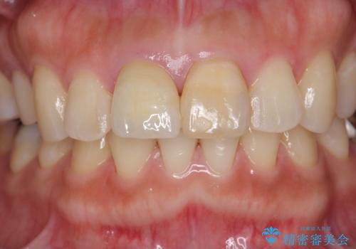
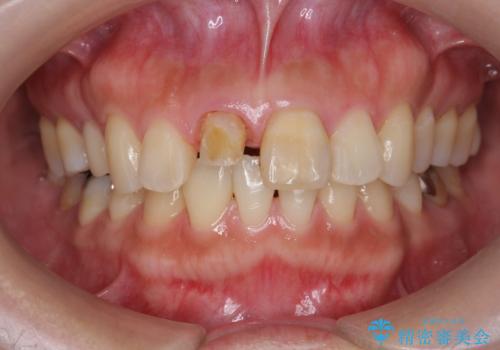
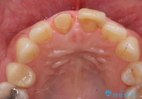
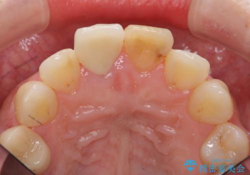
- 歯の神経を除去したのちの、変色の改善を希望され来院されました。
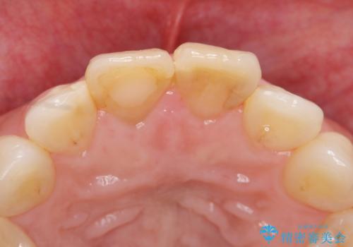
再度根管治療を行ったのちの、オールセラミッククラン治療を計画します。
色調の再現に優れるオールセラミッククラウン スペシャルプランでの治療を希望されました。(保証5年間)
- 費用(概算)
- 16.5万円(ジルコニアクラウンスペシャル・仮歯)費用は治療当時の料金となります
治療について
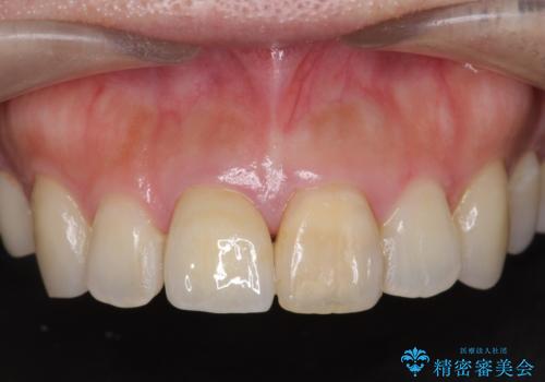
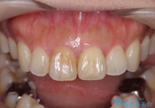
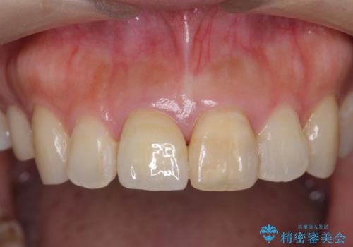
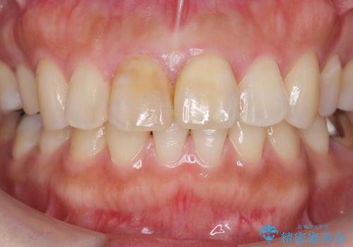
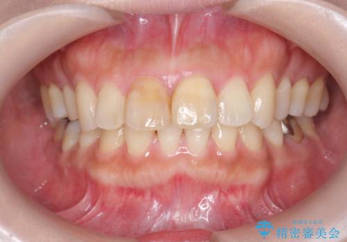
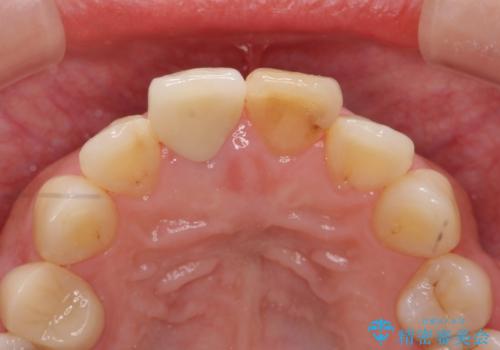
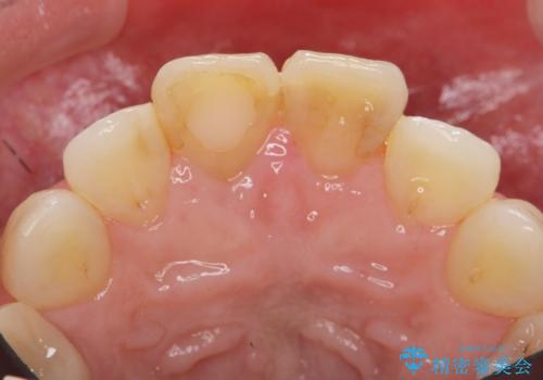
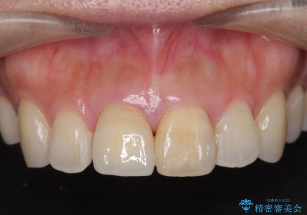
天然歯を再現したリアルな仕上がりに満足いただくことができました。
オールセラミッククラウン スペシャルプランは細やかな色調の再現に優れ、目立つ前歯の審美的な仕上がりがより達成されやすいプランです。
セラミック治療の注意事項(リスク・副作用など)
- 天然歯を削ります
- 硬い素材は天然歯を傷つけてしまう場合があります
- かみ合わせや歯ぎしりが強すぎる方はセラミックが割れてしまう可能性があります
- 自費診療(保険適用外治療)となります
当サイトの内容、テキスト、画像等の無断転載、複製、複写、盗用を固く禁じます。





















