症例詳細
Case detail
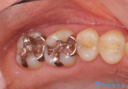
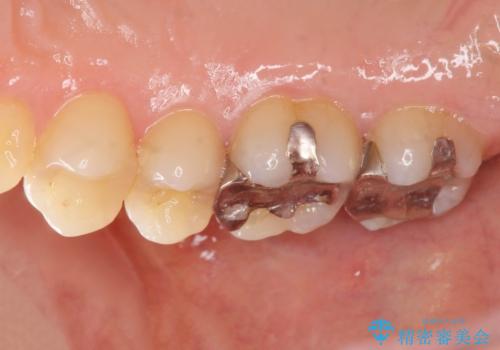
メタルフリー治療 銀歯を全て除去したい
治療症例の内容
- 診療科目
- 担当医
- 大元洋佑(ドクタープロフィール)
- 患者様
- 30代女性
- 治療期間
- 1ヶ月
- 治療回数
- 2-5回
- 治療計画
- 口腔内の金属、銀歯を全て除去しセラミックにしたい。と、希望され来院されました。
口腔内の金属を丁寧に除去したのち、精度・審美性に優れるセラミック治療を計画します。
- 費用(概算)
- 20.9万円(ジルコニアクラウン・仮歯・セラミックインレー)費用は治療当時の料金となります
治療について
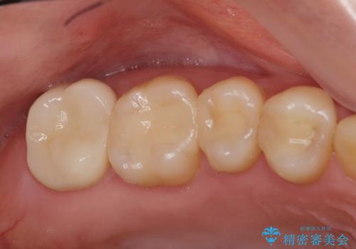
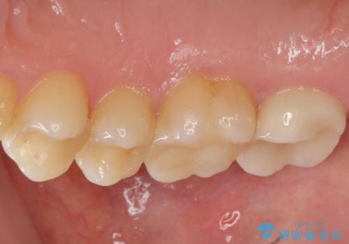
天然歯と変わらない色調に優れるセラミック治療の仕上がりに満足いただくことができました。
セラミック治療の注意事項(リスク・副作用など)
- 天然歯を削ります
- 硬い素材は天然歯を傷つけてしまう場合があります
- かみ合わせや歯ぎしりが強すぎる方はセラミックが割れてしまう可能性があります
- 自費診療(保険適用外治療)となります
当サイトの内容、テキスト、画像等の無断転載、複製、複写、盗用を固く禁じます。








