症例詳細
Case detail
前歯が欠けた セラミッククラウン
治療症例の内容
- 診療科目
- 治療カテゴリ
- 担当医
- 高悠莉(ドクタープロフィール)
- 患者様
- 30代男性
- 治療期間
- 3ヶ月
- 治療回数
- 2-5回
- 治療計画
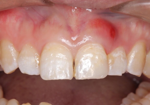
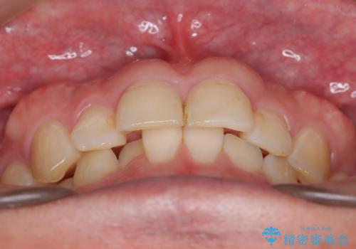
- 定期的に当院に通院されている患者様ですが、前歯が欠けてしまい困っているとのことで来院されました。その日は応急でレジン充填を行いましたが、上下顎前歯の当たりが強くまた同じように欠けてしまう可能性が高いと考え、セラミッククラウンにて修復した一例です。前歯一歯の色合わせは非常に難しく、特に周囲の歯に模様がある場合難易度が上がります。そのため、今回は当院のセラミッククラウンの中で最もランクの高いものを選択し、非常に綺麗に仕上げることができました。
- 費用(概算)
- 253,000円(税込)費用は治療当時の料金となります
色合わせについて
最終クラウンを作る前に仮歯をご用意し、色調や形を患者様とご相談します。その後、必要に応じて口腔内写真を製作ラボにお送りし、作り手の歯科技工士と情報共有をさせていただきます。症例によっては、診療室で直接患者様と技工士との打ち合わせの場を設けることもあります。
セラミック治療の注意事項(リスク・副作用など)
- 天然歯を削ります
- 硬い素材は天然歯を傷つけてしまう場合があります
- かみ合わせや歯ぎしりが強すぎる方はセラミックが割れてしまう可能性があります
- 自費診療(保険適用外治療)となります
当サイトの内容、テキスト、画像等の無断転載、複製、複写、盗用を固く禁じます。







