症例詳細
Case detail
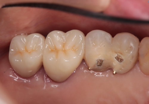
食べ物がはさまる 他院のかぶせ物のやり直し
治療症例の内容
- 診療科目
- 治療カテゴリ
- 担当医
- 高悠莉(ドクタープロフィール)
- 患者様
- 60代女性
- 治療期間
- 1ヶ月
- 治療回数
- 2-5回
- 治療計画
- 食事中に奥歯にものが挟まるとのことで、ご相談いただいた患者様です。他院のセラミックの形態不良を認めましたので、技工士と形を相談しながらセラミッククラウンの新製を行いました。術後はお悩みも解決したようで、更に歯の裂溝がきちんとしており噛みやすくなったとのお言葉をいただきました。
- 費用(概算)
- 264,000円(税込)費用は治療当時の料金となります
なぜものが挟まりやすいのか
一般的に、歯と歯の間の接触部分がゆるいと食べ物が挟まりやすくなります。また、きちんと接触していたとしても、歯肉退縮があるパターンや歯の形が不良である場合は、一度挟まった食べ物がフロスや歯間ブラシでもなかなか除去できません。歯周病で歯が揺れている場合もこれに該当します。お悩みの方はぜひご相談ください。
セラミック治療の注意事項(リスク・副作用など)
- 天然歯を削ります
- 硬い素材は天然歯を傷つけてしまう場合があります
- かみ合わせや歯ぎしりが強すぎる方はセラミックが割れてしまう可能性があります
- 自費診療(保険適用外治療)となります
当サイトの内容、テキスト、画像等の無断転載、複製、複写、盗用を固く禁じます。





