症例詳細
Case detail
変色した歯を綺麗にしたい 根管治療からジルコニアクラウンでの修復
治療症例の内容
- 診療科目
- 担当医
- 岡田康成(ドクタープロフィール)
- 患者様
- 30代女性
- 治療期間
- 2ヶ月
- 治療回数
- 2-5回
- 治療計画
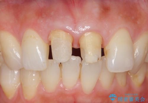
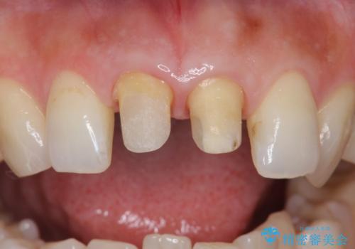
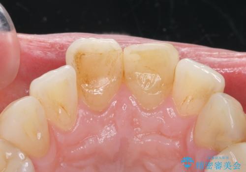
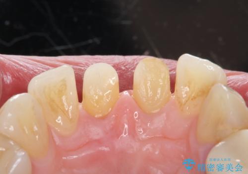
- 前歯の変色を主訴に来院されました。
変色に対してはかぶせ物で周囲の歯との色調を合わせます。
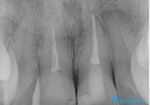
根管治療についてご説明をし、右上の1本だけ再根管治療を行うこととなりました。
- 費用(概算)
- 右上1/再根管治療66,000円+ファイバーコア22,000円+仮歯11,000円+ジルコニアクラウン(スタンダード):121,000円 左上1/仮歯11,000円+ジルコニアクラウン(スタンダード)121,000円 合計352,000円(税込)費用は治療当時の料金となります
治療について
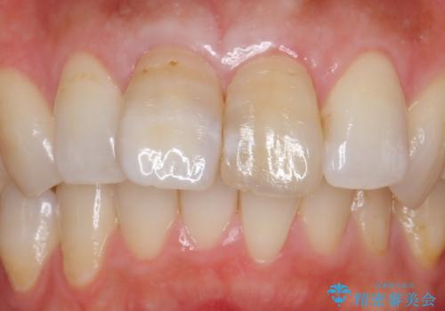
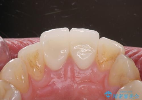
先端に透明感のあるかぶせ物を装着することで審美的な問題を解決しつつ、少しガタついていた歯並びも改善することができました。
セラミック治療の注意事項(リスク・副作用など)
- 天然歯を削ります
- 硬い素材は天然歯を傷つけてしまう場合があります
- かみ合わせや歯ぎしりが強すぎる方はセラミックが割れてしまう可能性があります
- 自費診療(保険適用外治療)となります
根管治療の注意事項(リスク・副作用など)
- 根管治療により類似の全ての症例の問題が解決するわけではなく、症例はあくまでも一例です
- 根管治療により痛みや腫れがひかない事や、術後に痛みや腫れが生じる事、治療によるファイル破折やパーフォレーションなどの偶発症、術後の歯根破折を生じる可能性もあります
- 自費診療(保険適用外)となります
当サイトの内容、テキスト、画像等の無断転載、複製、複写、盗用を固く禁じます。











