症例詳細
Case detail
前歯をきれいなセラミックにしたい。
治療症例の内容
- 診療科目
- 治療カテゴリ
- 担当医
- 齋藤佑磨(ドクタープロフィール)
- 患者様
- 20代女性
- 治療期間
- 2ヶ月
- 治療回数
- 2-5回
- 治療計画
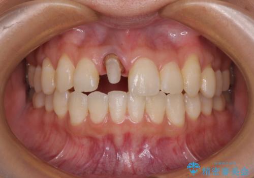
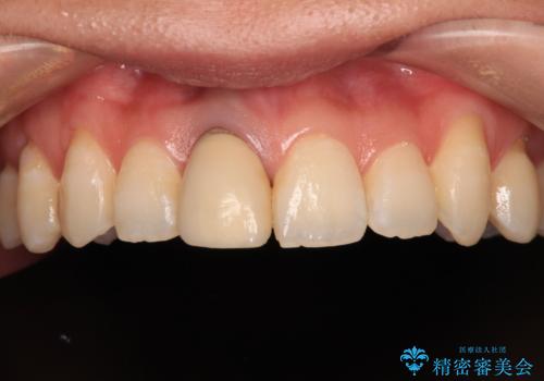
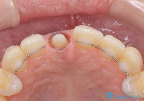
- 以前他院にて保険診療で治療した前歯のやり替え希望の患者様です。
被せものと土台の境目が段差になっています。
審美的にも清掃性の観点からも理想的とは言えない状態です。
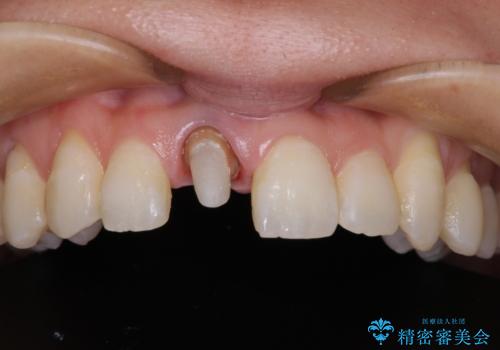
ファイバーコアにやり替えて、形を整え直して、
精度の高いシリコーンで型どりしました。
- 費用(概算)
- 16万円(税込)費用は治療当時の料金となります
治療について
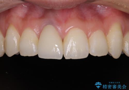
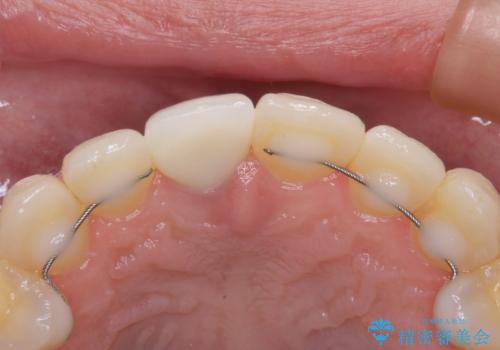
被せものと土台の歯との境目が、歯茎の下に隠れるように調整し、段差もないため、審美性・清掃性のどちらの観点からも理想的な被せものになり、患者様は満足されました。
セラミック治療の注意事項(リスク・副作用など)
- 天然歯を削ります
- 硬い素材は天然歯を傷つけてしまう場合があります
- かみ合わせや歯ぎしりが強すぎる方はセラミックが割れてしまう可能性があります
- 自費診療(保険適用外治療)となります
当サイトの内容、テキスト、画像等の無断転載、複製、複写、盗用を固く禁じます。











