症例詳細
Case detail
【インプラント】奥歯でしっかり物を噛みたい。
治療症例の内容
- 担当医
- 河口智英(ドクタープロフィール)
- 患者様
- 40代男性
- 治療期間
- 6ヶ月
- 治療回数
- 2-5回
- 治療計画
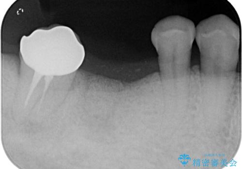
- 奥歯の欠損をインプラントで治療したいと来院された患者様です。
骨の状態が安定するまで待機したのち、インプラントを埋入しています。
- 費用(概算)
- 40万円費用は治療当時の料金となります
治療について
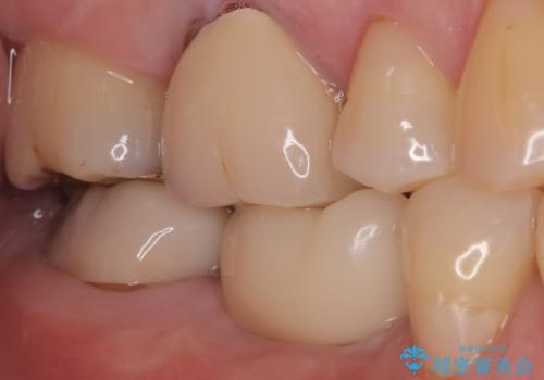
スクリューリテインにて上部構造を連結しています。
セラミック治療の注意事項(リスク・副作用など)
- 天然歯を削ります
- 硬い素材は天然歯を傷つけてしまう場合があります
- かみ合わせや歯ぎしりが強すぎる方はセラミックが割れてしまう可能性があります
- 自費診療(保険適用外治療)となります
当サイトの内容、テキスト、画像等の無断転載、複製、複写、盗用を固く禁じます。









