症例詳細
Case detail
前歯のすき間が気になる 部分矯正で
治療症例の内容
- 診療科目
- 担当医
- 井上季実子(ドクタープロフィール)
- 患者様
- 10代女性
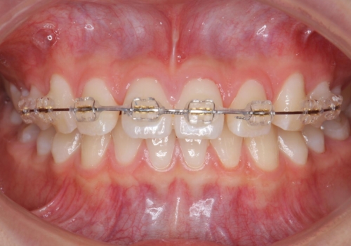
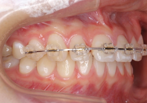
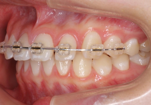
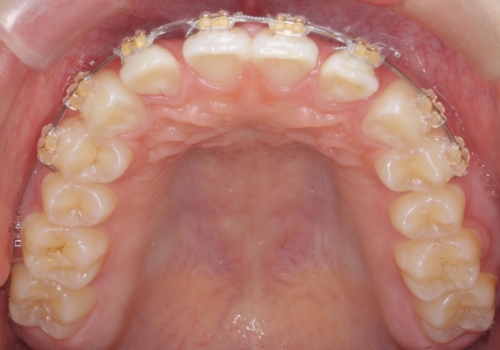
- 矯正装置
- ワイヤー矯正
- 治療期間
- 9ヶ月
- 治療回数
- 10-30回
- 治療計画
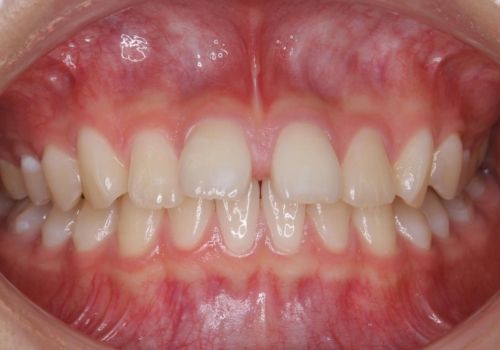
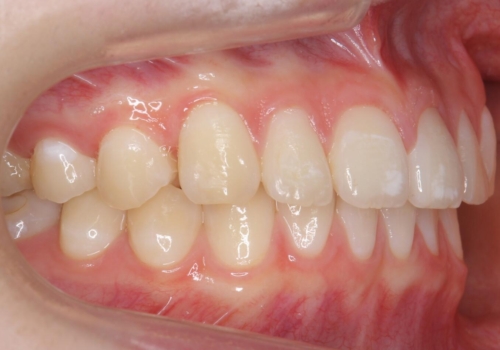
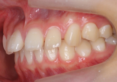
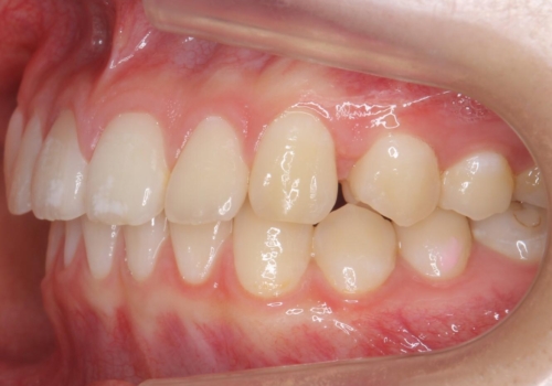
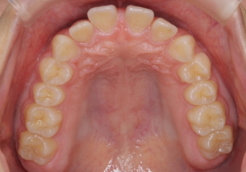
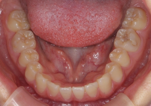
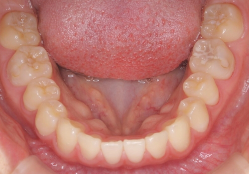
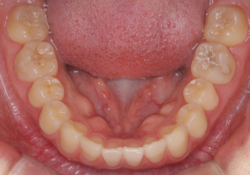
- 前歯のすき間を気にして来院。
全体矯正ではなく部分矯正で治療することになりました。
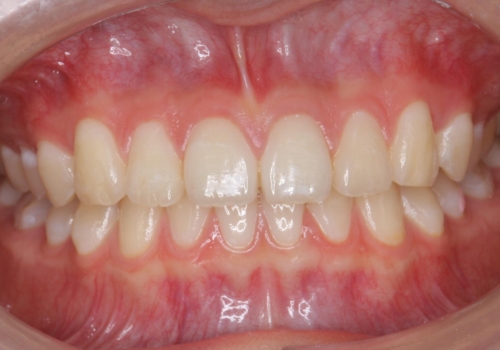
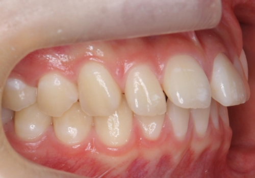
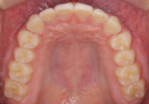
その代わり、すき間をすべて閉じるのは難しく、両脇の目立たないところに集めて治療終了しています。
- 費用(概算)
- 38.5万円費用は治療当時の料金となります
治療について
低予算、短期間で治療も終了し、大変満足していただきました。
全体矯正をしていないため、就寝時にリテーナー使用は継続していただくことになっています。
ワイヤー矯正の注意事項(リスク・副作用など)
- 治療中は違和感や痛みが起こることがあります
- 症状により、抜歯が必要な場合があります
- 治療中は歯磨きがしにくくなるため、虫歯や歯周病になりやすくなります
- 矯正治療後の保定が不十分だと後戻り(元の位置に戻ろうとする動き)をします
- 自費診療(保険適用外)となります
当サイトの内容、テキスト、画像等の無断転載、複製、複写、盗用を固く禁じます。

















