症例詳細
Case detail
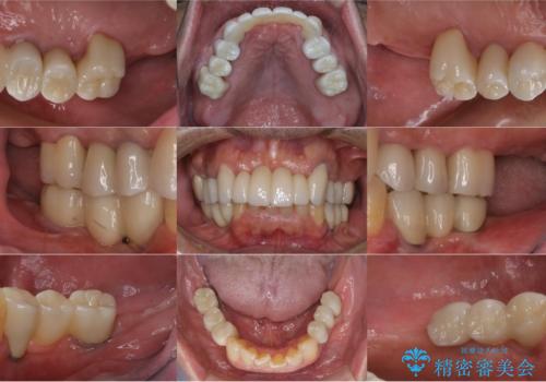
孫から口臭を指摘され来院、全顎治療で噛み合わせ、見た目、口臭全て劇的改善!
- 患者様
- 70代男性
- 治療期間
- 1年6ヶ月
- 治療回数
- 10-30回
- 治療計画
- お孫さんに口臭を指摘されたことで治療を決断し、来院されました。
歯周病、虫歯、合わない被せ物がニオイの原因となっていたため、そのすべてを治療することになりました。
まずは歯周病の治療と抜くしかない歯を抜き、インプラント治療とセラミック治療を行いました。
- 費用(概算)
- 350万円費用は治療当時の料金となります
治療について
治療中でも見た目が問題ない様に仮歯を製作していきますが、今回は奥歯に仮歯を入れることが不可能であったため、インプラントが使用できるまでの半年間は入れ歯を使用して頂きました。
セラミック治療の注意事項(リスク・副作用など)
- 天然歯を削ります
- 硬い素材は天然歯を傷つけてしまう場合があります
- かみ合わせや歯ぎしりが強すぎる方はセラミックが割れてしまう可能性があります
- 自費診療(保険適用外治療)となります
歯周病治療の注意事項(リスク・副作用など)
- 外科手術のため、術後に痛みや腫れ、違和感を伴います
- 歯周組織再生治療は患者様の状態によって術後の経過が異なります(見た目が改善しない場合もあります)
- 歯周組織再生治療は自費診療(保険適用外)となります
インプラント治療の注意事項(リスク・副作用など)
- 外科手術のため、術後に痛みや腫れ、違和感を伴います
- メンテナンスを怠ったり喫煙により、お口の中に大きな悪影響を及ぼすインプラント周囲炎等にかかる可能性があります
- 糖尿病、肝硬変、心臓病等の場合、インプラント治療ができない可能性があります
- 高血圧、貧血・不整脈等の場合、インプラント治療後に治癒不全を招く可能性があります
- 自費診療(保険適用外治療)となります
当サイトの内容、テキスト、画像等の無断転載、複製、複写、盗用を固く禁じます。








