症例詳細
Case detail
【セラミッククラウン】詰め物と歯の境目に汚れが溜まる
治療症例の内容
- 診療科目
- 治療カテゴリ
- 担当医
- 町田睦月(ドクタープロフィール)
- 患者様
- 50代男性
- 治療期間
- 1ヶ月
- 治療回数
- 2-5回
- 治療計画
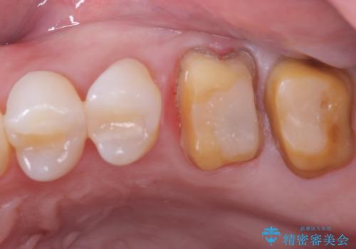
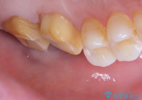
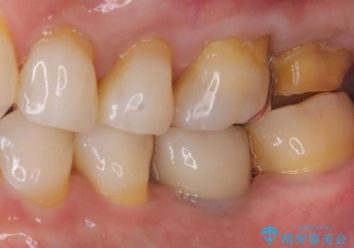
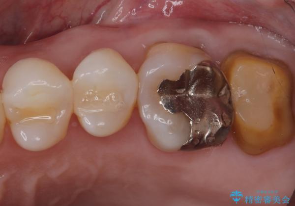
- 主訴:詰め物と歯の奥が側の境目に物がいつも溜まってしまう
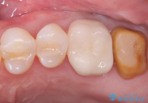
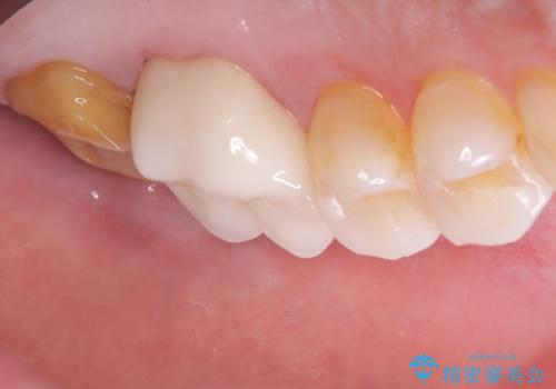
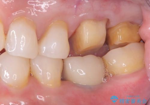
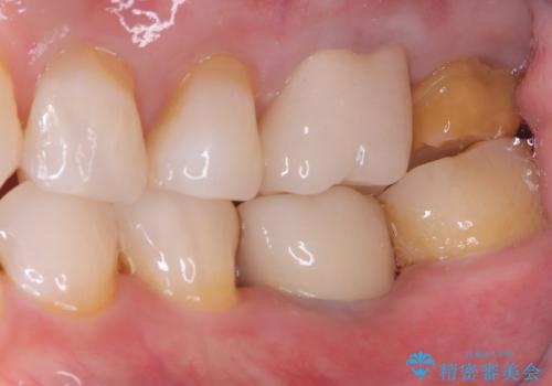
保険適応のメタルインレーと歯質との間に不適合な箇所を認め、補綴物のやり替えでの治療となりました。インレーからクラウンへ補綴物の形態を変更し、素材は清掃性・適合性・審美性の点からセラミッククラウンでのやり替となりました。
- 費用(概算)
- 132,000円費用は治療当時の料金となります
治療について
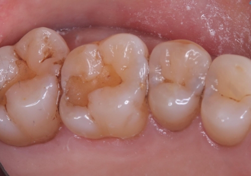
レントゲン上にて、左上6番遠心にインレーと歯質の不適合を認めます。
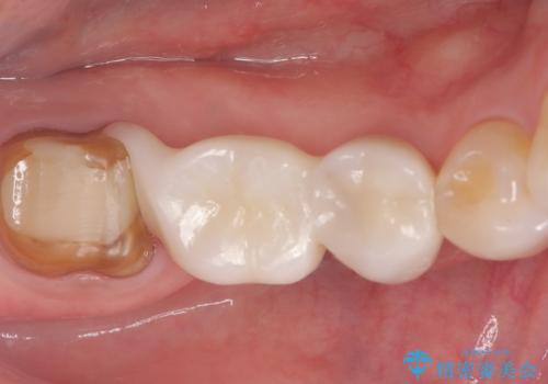
健全歯質の残存量から、クラウンでのやり替えを提案しオールセラミッククラウン(スタンダード)でのやり替えとなりました。
治療費内訳
・オールセラミッククラウン(スタンダード) 121,000円(税込み)
・仮歯 11,000円(税込み)
セラミック治療の注意事項(リスク・副作用など)
- 天然歯を削ります
- 硬い素材は天然歯を傷つけてしまう場合があります
- かみ合わせや歯ぎしりが強すぎる方はセラミックが割れてしまう可能性があります
- 自費診療(保険適用外治療)となります
当サイトの内容、テキスト、画像等の無断転載、複製、複写、盗用を固く禁じます。











