症例詳細
Case detail
前歯がグラグラする。
治療症例の内容
- 診療科目
- 治療カテゴリ
- 担当医
- 青山卓弘(ドクタープロフィール)
- 患者様
- 70代男性
- 治療期間
- 6ヶ月
- 治療回数
- 2-5回
- 治療計画
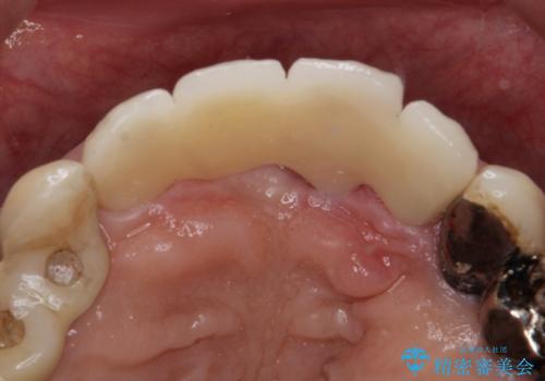
- 前歯がグラグラするとの事で来院。
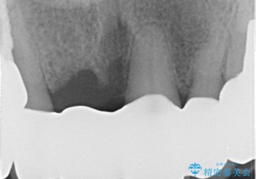
精査したところ、右上の前歯はかなり動揺があり保存できない状態でした。
右上の前歯の抜歯を行い、ブリッジの仮歯を入れ、動揺が無くなるのを確認した後、ジルコニアクラウンブリッジを入れました。
その後は前歯の破折予防としてナイトガードを使用してもらいました。
- 費用(概算)
- ジルコニアクラウンスタンダード・仮歯 12.1万円×4費用は治療当時の料金となります
治療について
抜歯をしてからすぐに最終的な被せ物を入れるのではなく抜歯窩がしっかり治るのを待ってから最終的な被せ物を入れていきます。
その期間は仮歯で過ごしてもらいます。
セラミック治療の注意事項(リスク・副作用など)
- 天然歯を削ります
- 硬い素材は天然歯を傷つけてしまう場合があります
- かみ合わせや歯ぎしりが強すぎる方はセラミックが割れてしまう可能性があります
- 自費診療(保険適用外治療)となります
その他の注意事項(リスク・副作用など)
- 担当歯科医師、歯科衛生士又は医院スタッフから受けた説明・注意事項をよくご確認ください
- 医療を提供するに当たり、適切な説明を行い、患者様の十分な理解を得るよう努めております
当サイトの内容、テキスト、画像等の無断転載、複製、複写、盗用を固く禁じます。










